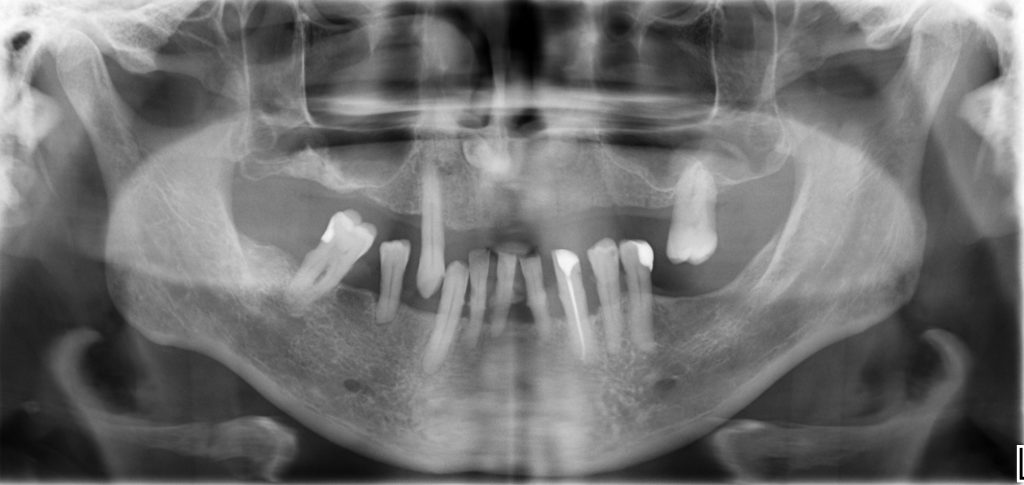
Имплантация с восстановлением костных и мягкотканых параметров верхней челюсти по методике «All – on – 4»

95Пациент 65 лет обратился за комплексной стоматологической реабилитацией с жалобами на отсутствие зубов и эстетическую неудовлетворенность. Пациент долгое время не обращался за стоматологической помощью, вследствие чего были утеряны зубы на верхней и нижней челюсти. В полости рта наблюдаются пародонтальных патологии имеющихся зубов, зубоальвеолярное изменение в виде феномена Попова – Годона (рис 1,2,3.) На панорамной рентгенограмме […]
Перелом центральных резцов вследствие катания на самокате

115Мальчик, 10 лет, сильно разогнался на электрическом самокате и разбился. Получил сильные ушибы, ссадины и перелом центральных резцов. Части зубов найдены не были, ко мне они попали когда ребёнку стало легче. Первый приём: сняли слепки и перекрыла открытые участки дентина десенситайзер Shield Forse (Tokuyama). Отдала технику на Wax-up. Второй приём: реставрация по ключу, материал Asteria […]
Сложность травмы и ее пути решения

90В данном кейсе разберем сложность травмы и ее пути решения. Произошел перелом коронковой части центрального резца с повреждением пульпы. Нам удалось совместно с хирургом отслоить слизистую ткань твердого неба и открыть доступ к зубу для того, чтобы зафиксировать фрагмент небной поверхности зуба. После заживления было произведено эндодонтическое лечение с последующей реставрацией коронковой части зуба. Анамнез […]
Текстура поверхности: Использование горизонтальных и вертикальных линий для имитации естественного вида зубов

113Текстура поверхности: Использование горизонтальных и вертикальных линий для имитации естественного вида зубов Теория и техническая процедура линий Джузеппе Ромео, Италия Введение Поверхности зуба всегда обусловлены поверхностями соседних зубов. Гладкий зуб рядом с зубом с более выраженной текстурой создаст контраст преобладания, при котором шероховатый зуб будет казаться менее ценным, чем более гладкий. Текстура поверхности является неотъемлемым […]
Оценка сложности клинического случая с фрагментами инструментов в корневых каналах зубов.

139Для значительного большинства стоматологов, прежде всего для начинающих свою клиническую практику врачей, является повторяющимся кошмаром и огромной проблемой, ассоциированной с непреодолимым чувством вины, поломка инструментов в корневом канале на этапах эндодонтического лечения. Согласно данным Madarati, A.A., Watts, D.C. (2008) 93,6% эндодонтистов и 79,5% стоматологов общей практики сталкивались с поломками инструментов. В случае данного осложнения стоматологи […]
Художественная реставрация зуба 3.6 (пошаговый протокол)

126Исходная ситуация. Поэтапный протокол: 1. Удаление старой реставрации и пораженных тканей зуба. Дистальный фрагмент зуба 3.6 препарировался без использования коффердама, с целью облегчения некркэтомии в данном фрагменте. После удаления всех нежизнеспособных тканей с дистального фрагмента был наложен коффердам на зубы 3.7 – 3.4 для лучшей визуализации рабочего поля. Удаление инфицированного дентина в глубоких слоях дентина […]
Комбинация прямой и непрямой реставрации

107В данном клиническом случае пациент обратился к нам в клинику с желанием изменить эстетику улыбки при помощи реставраций без препарирования. Основной сложностью в данном случае является – установленный имплантат в области отсутствующего зуба 2.1, это сильно усложняет работу в формате прямой реставрации, так как интегрировать одиночную коронку на имплантате к прямым реставрациям в области центрального […]
Оригинальная методика фиксации коффердама.

108 Pablo Santoro – стоматолог, Аргентина (Berazategui). Абсолютная изоляция несомненно основная и рекомендуемая операция при бондинге особенно непрямых реставраций, и особенно, когда это множественные реставрации. Этим возможно гарантировать наилучшие условия адгезии для того, чтобы реставрации существовали длительное время. Происхождение абсолютной изоляции восходит к 1864 году, когда американский стоматолог Standford Barmun испытывал трудности с пациентами, у которых […]
IV класс. Прямая реставрация резца

131ENG Below Реставрация травматического скола, случившегося около 8 лет назад. Дентин Ceram-x DUO D3, D2 Основная эмаль Ceram-sphereTec A2 Кончики мамелонов Ceram-DUO D2, D1 Между мамелонами Estelite Color Clear + Tetric Color Blue точечно Поверхностная эмаль Asteria WE Restoration of a traumatic incisor fracture that happened about 8 years ago. Dentin core – Ceram-x DUO […]
Как работает силан / How to Dentist

100 Если хотите знать: 1) механизм работы Силана 2) различие 1 и 2 компонентного силанов 3) особенности обработки литийдисиликатной керамики перед силанизацией Тогда смотрите видео Научные статьи используемые в ролике: 1) Влияние концентрации плавиковой кислоты – https://www.ncbi.nlm.nih.gov/pubmed/26295066 2) Влияние продолжительности травления HF – https://www.ncbi.nlm.nih.gov/pubmed/27240353 3) Не растворимость солей в спирте, растворимость в воде – https://pubchem.ncbi.nlm.nih.gov/compound/Sodium_hexafluorosilicate#section=Solubility […]
Метод окклюзионной модели

96
Жидкая вселенная с Сергеем Чупахиным. Часть первая.

92Жидкая вселенная с Сергеем Чупахиным. Часть первая. Нет нечего прекраснее чем смотреть на воду, а на красивую воду смотреть еще прекраснее! Наверное, все уже встречали в интернете фотографии на которых запечатлены капли воды в различных своих моментах существования, а когда вода правильно подсвечена или подкрашена вот тут начинаются и вовсе чудеса! Всем желающим прикоснутся и […]
Освещение в дентальной фотографии

117Освещение в дентальной фотографии. Приемы художественной съемки. Интерес врачей к теме дентальной фото-съемки становится все более выраженным. Многие стоматологи перед тем, как приобрести собственный фото-комплект, хотят узнать о том, на что их камера будет способна: «смогу ли я получать фотографии, как в красивых журналах?», «Будут ли зубы на моих снимках смотреться правдоподобно и привлекательно?». Как […]
Непрямые композитные вкладки

122 Непрямые композитные вкладки. Детализированный разбор методики. Воспроизведение точной морфологии – является основной задачей при реставрации жевательных зубов, так как их функциональная нагрузка особо велика. Правильная анатомическая форма окклюзионных элементов обуславливает полноценное участие боковых зубов в акте жевания. Всякое качественное стоматологическое лечение заключается в гармоничном сочетании здоровья, функции и эстетики. В достижении всех этих целей […]
Реконструкция улыбки

120На приеме у любого врача-стоматолога встречаются пациенты с необходимостью проведения масштабных реконструкций фронтальных зубов и улыбки, однако реализация подобных клинических случаев является чрезвычайно трудной задачей. Это связано со многими факторами: грамотное планирование, сложная эстетическая разработка, многоэтапность, высокий уровень клинического исполнения и тд. Многие врачи на пути осуществления подобных работ сталкиваются с большим количеством ошибок и […]
Реставрация моляров

97