106
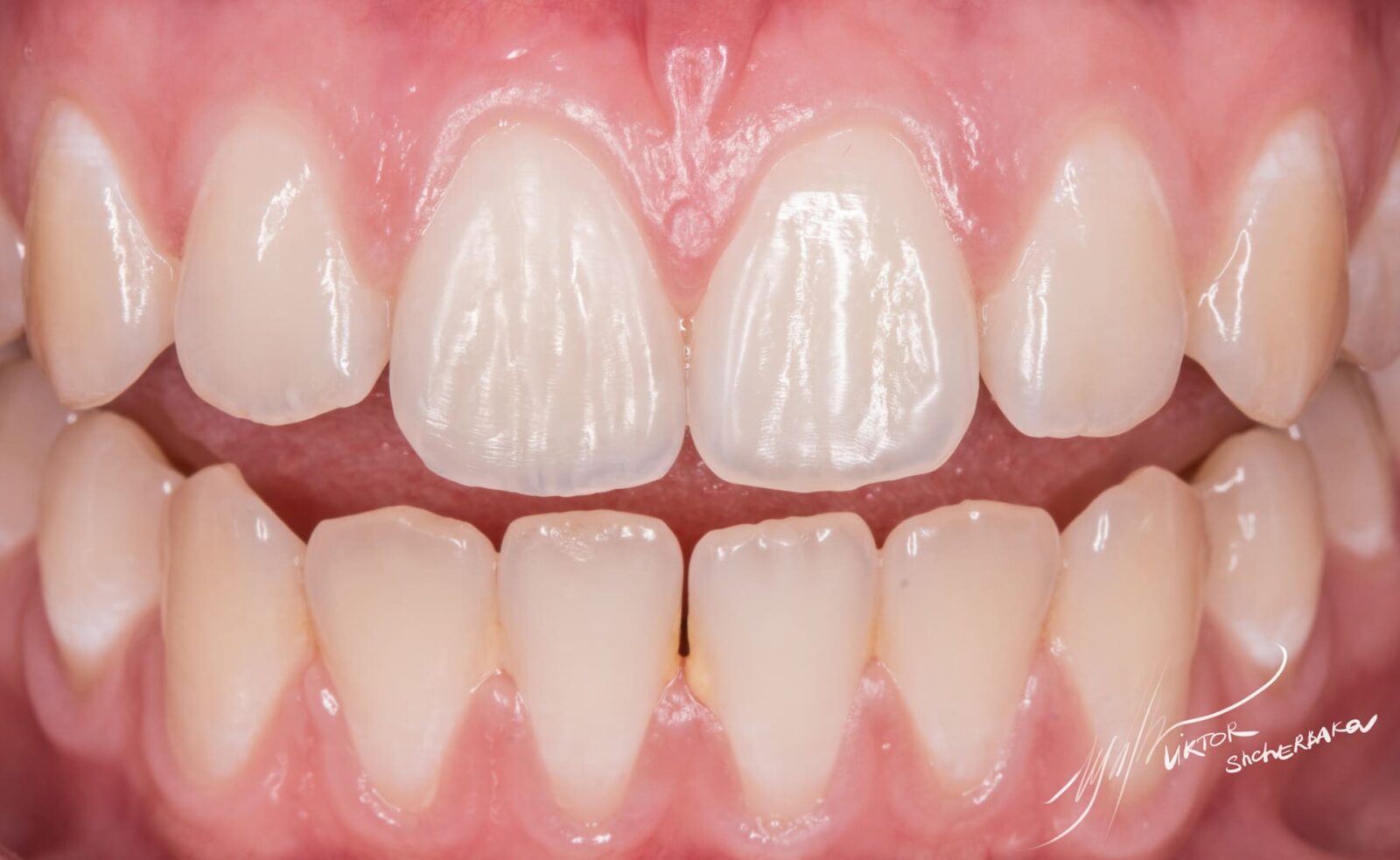
ENG Below Реставрация травматического скола, случившегося около 8 лет назад. Дентин Ceram-x DUO D3, D2 Основная эмаль Ceram-sphereTec A2 Кончики мамелонов Ceram-DUO D2, D1 Между мамелонами Estelite Color Clear + Tetric Color Blue точечно Поверхностная эмаль Asteria WE Restoration of a traumatic incisor fracture that happened about 8 years ago. Dentin core – Ceram-x DUO D3, D2 Main enamel layer – Ceram-sphereTec A2 Tips of mamelons – Ceram-DUO D2, D1 Between mamelons – Estelite Color Clear + Tetric Color Blue by a few dots The surface enamel layer – Asteria WE
Исходная ситуация
Исходная ситуация
Исходная ситуация
Исходная ситуация
прямой Mock-Up
вид после препаровки
Вид после воспроизведения нёбной стенки
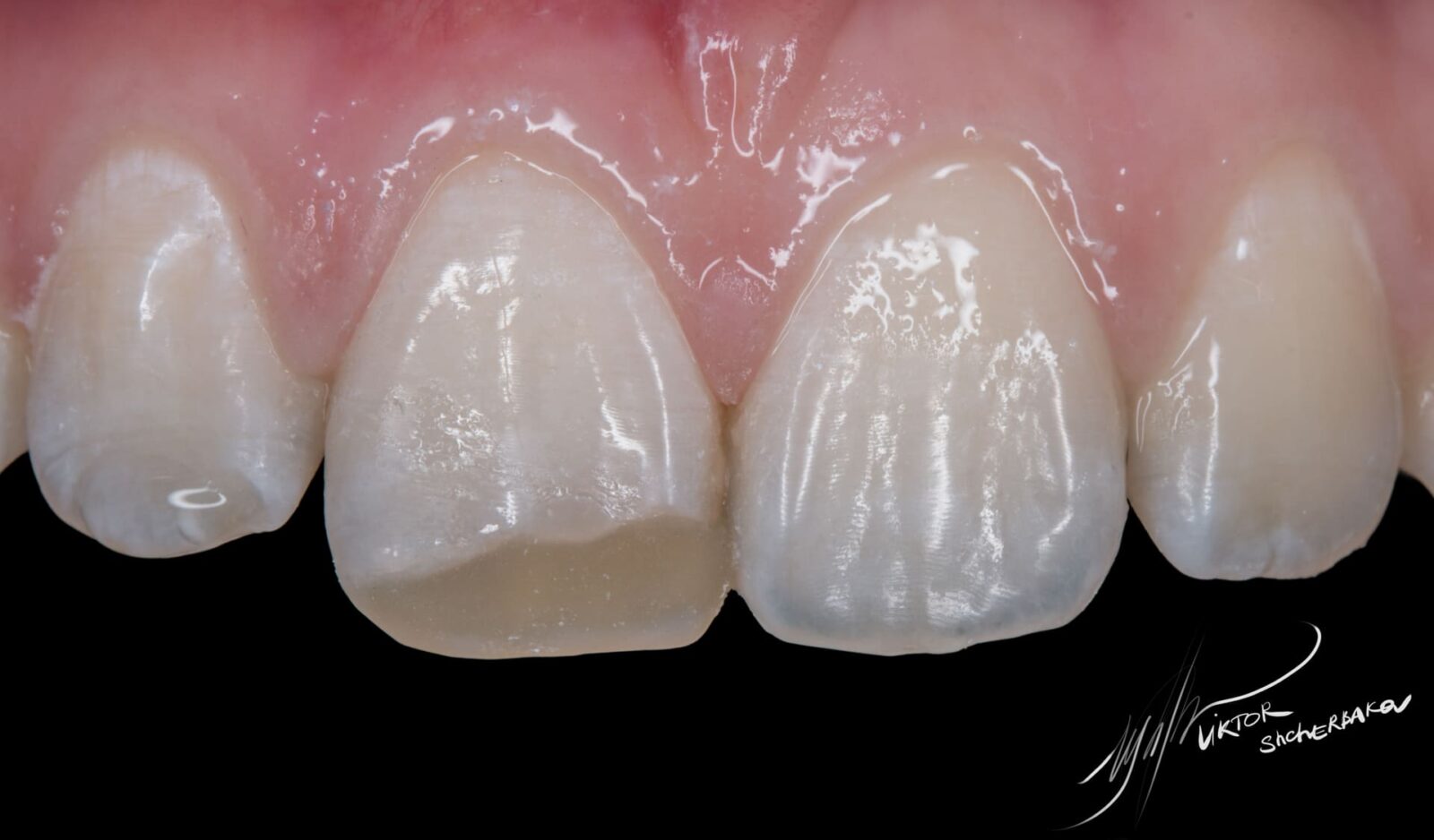
Дентиновое ядро и мамелоны
Внешний вид через 2 дня после реставрации
Внешний вид через 2 дня после реставрации

Комментарии могут оставлять только зарегистрированные пользователи.
Регистрация