Непрямые композитные вкладки. Детализированный разбор методики.
Воспроизведение точной морфологии – является основной задачей при реставрации жевательных зубов, так как их функциональная нагрузка особо велика. Правильная анатомическая форма окклюзионных элементов обуславливает полноценное участие боковых зубов в акте жевания.
Всякое качественное стоматологическое лечение заключается в гармоничном сочетании здоровья, функции и эстетики. В достижении всех этих целей первостепенную роль играет морфология зуба. Она является краеугольным камнем, на котором зиждутся эти три фундаментальные характеристики.
Если мы научимся делать анатомически правильные реставрации, то такие работы будут способны эффективно противостоять высоким окклюзионным нагрузкам. Каждый бугорок, валик и углубление на поверхности зуба играет определенную роль в правильном восприятии и распределении динамических окклюзионных усилий.
Воспроизведение точной морфологии – является основной задачей при реставрации жевательных зубов, так как их функциональная нагрузка особо велика. Правильная анатомическая форма окклюзионных элементов обуславливает полноценное участие боковых зубов в акте жевания.
Если врач имеет дело с небольшим дефектом, локализованным в пределах окклюзионной поверхности – можно легко воспроизвести морфологию ориентируясь на сохранившиеся анатомические структуры. Однако в тех случаях, когда дефект поражает значительный объем твердых тканей, точная моделировка может быть затруднена.
Проводя прямое восстановление крупных дефектов под коффердамом врач теряет всякий контроль за пространственным ориентированием элементов реставрации. Чаще всего результаты подобного «слепого» моделирования остаются неудовлетворительными – значительную часть работы, как правило, приходится спиливать бором на этапе окклюзионной интеграции.
Одним из эффективных вариантов выполнения реставрации больших дефектов является метод непрямых композитных вкладок. Изготовление подобных вкладок проводится не во рту пациента, а на модели, что позволяет легко контролировать правильность моделировки. При работе с одиночными вкладками использование артикулятора не является обязательным, потому что для воспроизведения правильных анатомических форм в пределах одного зуба нужно лишь видеть пространственное положение антагониста. Исполнение подобной работы может быть реализовано как самим врачом, так и техником.
Материалом для изготовления вкладки может являться как традиционный композит для терапевтического применения, так и технический композит. При работе с техническим композитом важно пользоваться специализированным полимеризатором для отверждения материала.
Метод непрямых композитных вкладок имеет следующие преимущества:
– возможность моделирования полноценной и точной морфологии
– значительное снижение полимеризационного стресса на ткани зуба
– более высокая степень конверсии мономера, чем при прямой реставрации
– более высокий модуль Юнга
Метод не лишен и недостатков
– необходимость взаимодействия с зуботехнической лабораторией
– значительные временные затраты по сравнению с прямым методом
Описание клинического случая
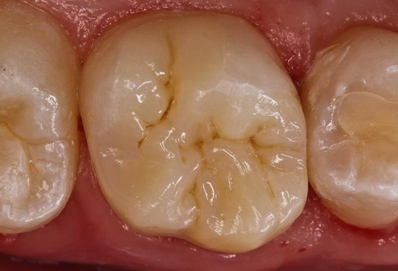
Старая несостоятельная пломба на зуба 1.6 с нарушенным краевым прилеганием, распространяется на 2/3 поверхности зуба. Плоская, лишенная своих натуральных форм эта пломба не принимает полноценного участия в акте жевания
Старая несостоятельная пломба на зуба 1.6 с нарушенным краевым прилеганием, распространяется на 2/3 поверхности зуба. Плоская, лишенная своих натуральных форм эта пломба не принимает полноценного участия в акте жевания
Удаление старой пломбы
На медиальном контакте на границе соединения был обнаружен небольшой очаг рецидивного кариеса
Оставшиеся без дентинной поддержки фрагменты щечно-медиального и щечно-дистального бугров были удалены
Пескоструйная обработка тканей зуба порошком оксида алюминия с размером частиц 27 микрон. Песок позволяет избирательно дифференцировать и удалять фрагменты инфицированного дентина и увеличивает удельную площадь поверхности 1,2
Пескоструйная обработка тканей зуба порошком оксида алюминия с размером частиц 27 микрон. Песок позволяет избирательно дифференцировать и удалять фрагменты инфицированного дентина и увеличивает удельную площадь поверхности 1,2
Тотальное травление
Внесение адгезивной системы
Вид после адгезивной подготовки
Постановка матрицы. Воспроизведение точечного контактного пункта при формировании билдапа (культи) не является обязательным, поэтому секционная матрица была установлена без фиксирующих колец
Воспроизведение билдапа двумя крупными порциями композита SDR
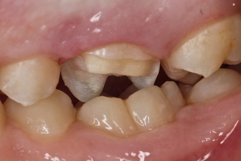
Препаровка зуба под вкладку. Дизайн препарирования свободный с соблюдением геометрии ведения вкладки
Препаровка зуба под вкладку. Дизайн препарирования свободный с соблюдением геометрии ведения вкладки
Снятие двухслойных двухэтапных слепков a-силиконом
Снятие двухслойных двухэтапных слепков a-силиконом
Снятие двухслойных двухэтапных слепков a-силиконом
Постановка временной пломбы. Для лучшей ретенции материала перед постановкой эмаль была протравлена и адгезированна в двух точках
Этап зуботехнической работы - изготовление разборной мастер-модели. Разборная модель удобна тем, что штампик с зубом всегда можно легко извлечь и получить свободный доступ к проксимальным поверхностям. В данном клиническом случае модели не были зафиксированы в окклюдатор или артикулятор. Важным требованием для изготовления разборной модели является обязательное нанесение тонкого слоя сепарационного воска на рабочую поверхность для того, чтобы не допустить склеивания композита с гипсом.
Этап зуботехнической работы - изготовление разборной мастер-модели. Разборная модель удобна тем, что штампик с зубом всегда можно легко извлечь и получить свободный доступ к проксимальным поверхностям. В данном клиническом случае модели не были зафиксированы в окклюдатор или артикулятор. Важным требованием для изготовления разборной модели является обязательное нанесение тонкого слоя сепарационного воска на рабочую поверхность для того, чтобы не допустить склеивания композита с гипсом.
Этап зуботехнической работы - изготовление разборной мастер-модели. Разборная модель удобна тем, что штампик с зубом всегда можно легко извлечь и получить свободный доступ к проксимальным поверхностям. В данном клиническом случае модели не были зафиксированы в окклюдатор или артикулятор. Важным требованием для изготовления разборной модели является обязательное нанесение тонкого слоя сепарационного воска на рабочую поверхность для того, чтобы не допустить склеивания композита с гипсом.
Этап зуботехнической работы - изготовление разборной мастер-модели. Разборная модель удобна тем, что штампик с зубом всегда можно легко извлечь и получить свободный доступ к проксимальным поверхностям. В данном клиническом случае модели не были зафиксированы в окклюдатор или артикулятор. Важным требованием для изготовления разборной модели является обязательное нанесение тонкого слоя сепарационного воска на рабочую поверхность для того, чтобы не допустить склеивания композита с гипсом.
Моделировку лучше начинать с постановки конусов, верхушки которых должны соответствовать самой высокой точке бугорка. Каждую порцию композита следует светить не менее 20 секунд для увеличения степени конверсии. В случае работы на модели можно не опасаться негативных последствий полимеризационного стресса
Моделировку лучше начинать с постановки конусов, верхушки которых должны соответствовать самой высокой точке бугорка. Каждую порцию композита следует светить не менее 20 секунд для увеличения степени конверсии. В случае работы на модели можно не опасаться негативных последствий полимеризационного стресса
Далее следует воспроизвести так называемый «окклюзионный колодец» - смоделировать внешние стенки, обозначить форму вестибулярной поверхности бугорков, экватор. Необходимо постоянно проверять правильность моделировки сопоставляя модели
Далее следует воспроизвести так называемый «окклюзионный колодец» - смоделировать внешние стенки, обозначить форму вестибулярной поверхности бугорков, экватор. Необходимо постоянно проверять правильность моделировки сопоставляя модели
Моделировка проксимальных поверхностей
Моделировка проксимальных поверхностей
Затем, ориентируясь на форму «окклюзионного колодца» и положение бугорков антагониста следует воспроизвести морфологию жевательной поверхности
Использование красителей для подчеркивания глубины фиссур
После завершения моделирование вкладка была поддета острой гладилкой, отшлифована и отполирована
После завершения моделирование вкладка была поддета острой гладилкой, отшлифована и отполирована
Внутреннюю поверхность вкладки следует обработать пескоструйным аппаратом
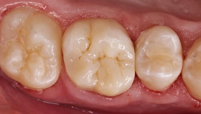
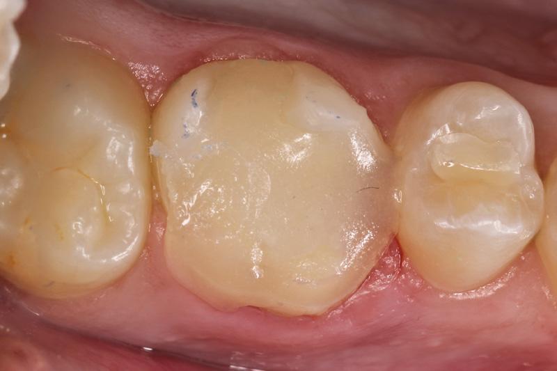
Внешний вид зуба после снятия временной пломбы
Изоляция
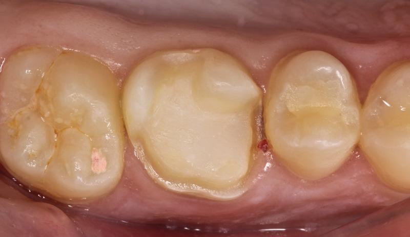
Примерка вкладки. Перед примеркой и постановкой вкладки следует обязательно расклинивать зубы с тех сторон, где погружение вкладки уходит ниже экватора зуба
Установка металлических секционных матриц для протекции соседних зубов перед адгезивным протоколом
Вид после пескоструйной обработки
Изоляция рядом стоящего зуба тефлоновой лентой
Травление
Внесение бондинговой системы. Адгезив не полимеризуется
Внесение бондинговой системы. Адгезив не полимеризуется
Внутреннюю поверхность композитной вкладки следует тщательно обработать спиртом для удаления остатков смазанного слоя и устранения частиц песка. После спирта на поверхность вкладки уместно нанести силан для керамики. Он нужен для того, чтобы сформировать прочную химическую связь мономера с импрегнированным в поверхность композита оксидом алюминия3. После силана поверхность композитной вкладки следует обработать смолой (вторая бутылочка в адгезивах 4-го поколения). Смола не полимеризуется
Внутреннюю поверхность композитной вкладки следует тщательно обработать спиртом для удаления остатков смазанного слоя и устранения частиц песка. После спирта на поверхность вкладки уместно нанести силан для керамики. Он нужен для того, чтобы сформировать прочную химическую связь мономера с импрегнированным в поверхность композита оксидом алюминия3. После силана поверхность композитной вкладки следует обработать смолой (вторая бутылочка в адгезивах 4-го поколения). Смола не полимеризуется
Фиксация вкладки на композитный цемент двойного отверждения. Пока цемент остается мягким его излишки следует убрать кисточкой. Затем, после короткого светового испульса полимеризационной лампой по жевательной поверхности, нужно удалить излишки цемента из проксимальных зон с помощью флосса. После этого проводится окончательная засветка в течение 120 секунд
Фиксация вкладки на композитный цемент двойного отверждения. Пока цемент остается мягким его излишки следует убрать кисточкой. Затем, после короткого светового испульса полимеризационной лампой по жевательной поверхности, нужно удалить излишки цемента из проксимальных зон с помощью флосса. После этого проводится окончательная засветка в течение 120 секунд
Удаление ингибированного кислородом слоя с помощью гигиенической щетки
Шлифовка границы соединения, удаление неровностей, фрагментов композитного цемента
Шлифовка границы соединения, удаление неровностей, фрагментов композитного цемента
Полировка с помощью губок и паст
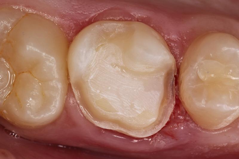
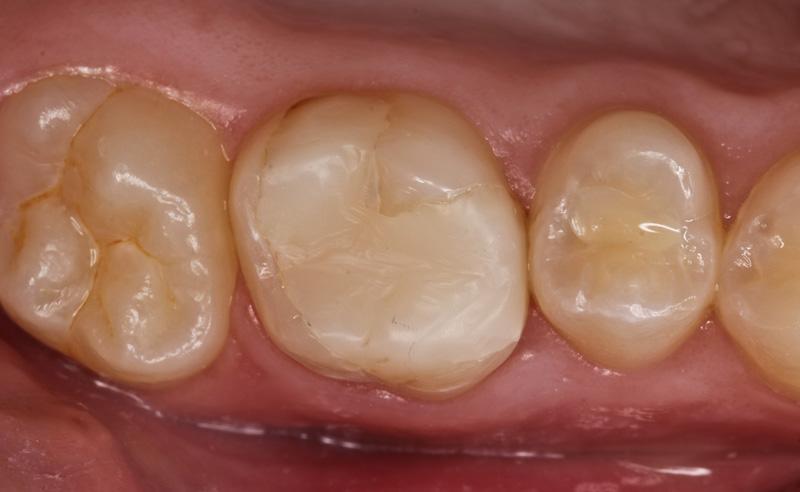
Итоговый результат. Метод непрямой композитной вкладки позволил воспроизвести подробную и функционально точную морфологию жевательного зуба. Коррекция вкладки по прикусу оказалась минимальной и не привела к нарушению целостности жевательного рельефа

Комментарии могут оставлять только зарегистрированные пользователи.
Регистрация