93
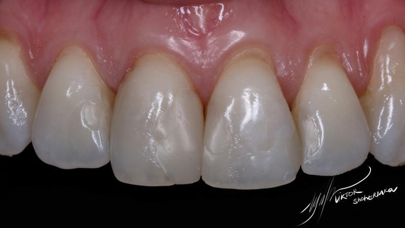
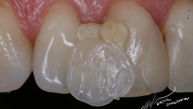
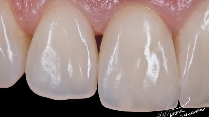
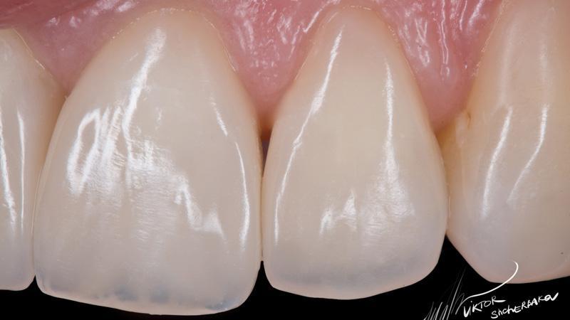
Класс III, IV. Сложные фрагментарные реставрации.
Фрагментарные реставрации, класс 3 и 4, без тотального вестибулярного перекрытия композитом.
Дентин: Ceram-Duo D3, D2
Основная эмаль: Asteria A3B
Поверхностная эмаль: Esthet-x YE + Estelite color Clear (между мамелонами)
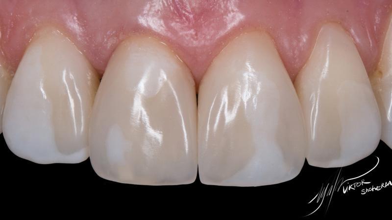
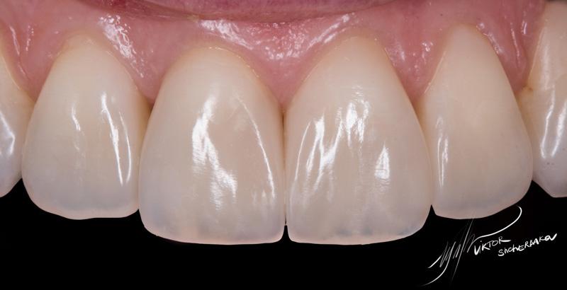
Финишная отделка:
Enhance шлифовочные головки, Jota composite polishers (зеленые), Pogo polisher, Jota (серые, для полировки), Диск из козьей щитины, Prisma Gloss Extra Fine полировочная паста.
Для фотопротокола использовалась только кольцевая вспышка YongNuo YN-14EX


















Комментарии могут оставлять только зарегистрированные пользователи.
Регистрация