61
В данном кейсе разберем сложность травмы и ее пути решения.
Произошел перелом коронковой части центрального резца с повреждением пульпы. Нам удалось совместно с хирургом отслоить слизистую ткань твердого неба и открыть доступ к зубу для того, чтобы зафиксировать фрагмент небной поверхности зуба. После заживления было произведено эндодонтическое лечение с последующей реставрацией коронковой части зуба.
Анамнез
- Пол пациента: Женский
- Возраст: 20.08.2003г.р.
- Дата первого визита: 17.10.2022г.
- Предыдущие травмы: отсутствуют
- Дата травмы и вовлеченные зубы:-
- Актуальная травма
- Дата: 15.10.2022г.
- Место: в кафе, за столом
- Причина: Потеря сознания из-за сильной жаркой погоды.
Диагностика:
- Объективный общий осмотр повреждения головы –отр. тошнота – отр.
- Объективный внутриротовой осмотр
- Поражены зубы а) Молочные: – отсутствуют.
- б) Постоянные : 2.1 зуб
- Спонтанные боли – ДА ☑
- Чувствительность от холодного – ДА ☑
- Пальпация болезненна – ДА ☑
- Сообщение с пульпой – ДА ☑
- Изменение цвета – НЕТ ☑
- Подвижность зубов – 1 ☑
- Повреждение – Слизистой полости рта ☑ Губы ☑
- Другое: отсутствует
Рентгенологическое исследование
Формирование корня: ☑ Завершенное
Диагноз:
- Перелом 2.1 коронки зуба с повреждением пульпы зуба- S02.52
Лечение:
- Под местной анестезией убрали часть сколотого зуба
Прогноз:
Благоприятный.
- В данном кейсе была попытка спасти пульпу, но безуспешно. Последующие схожие травмы , только уже у взрослых пациентов, мы проводили эндодонтическое лечение без отлагательств.
- Примечательно, что, к примеру у пациентов молодого возраста пульпа быстрее регенерируется и образуется дентинный мостик.
- В будущем я бы хотел делать такие операции намного аккуратнее, под наркозом.
- Это моя первая подобного рода травма в практике и я руководствовался книгой Мицухиро Цукибоши «Травмы зубов» и конечно же клиническим мышлением. Благодарю за внимание! Берегите себя!
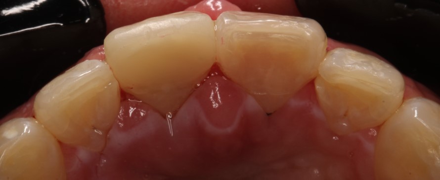
Внутриротовые фотографии 17.10.2022г
Внутриротовые фотографии 17.10.2022г
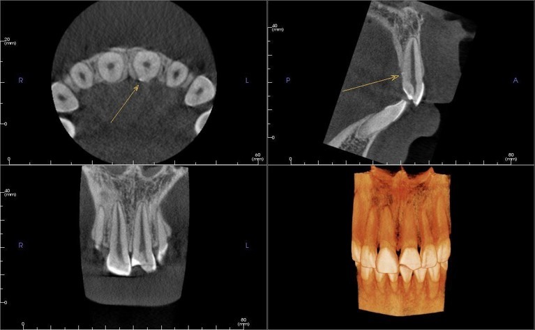
Прицельные снимки и реформаты
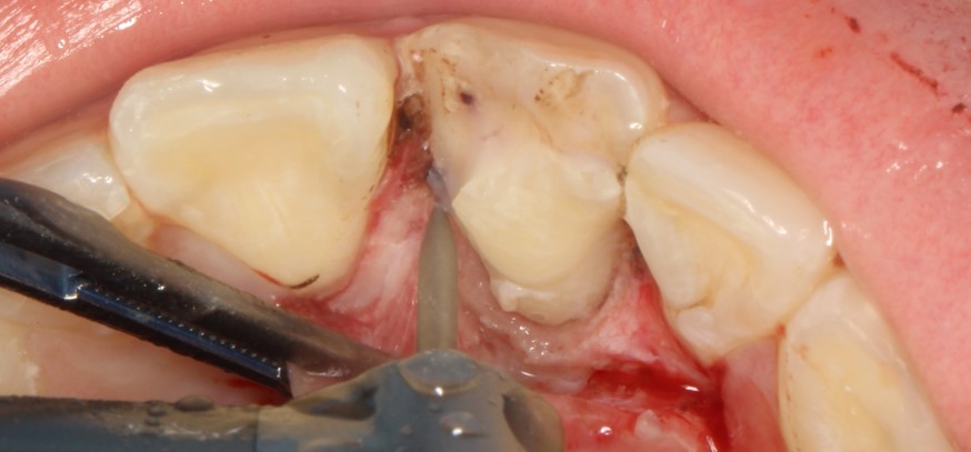
Лечение: Под местной анестезией убрали часть сколотого зуба
Отслоили мягкие ткани (а)
Редуцировали часть костной пластинки (б)


На данной фотографии продемонстрирована припасовка осколка зуба. Далее зуб и осколок был вычищен и адгезивно подготовлен к фиксации.
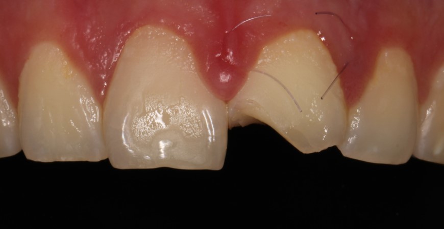
После фиксации отломка были убраны излишки жидкотекучего композита
Далее была восстановлена медиальная стенка зуба до ушивания десны.
КЛКТ после фиксации фрагмента зуба
Спустя 2 недели
Воспроизвел временную реставрацию на момент эндодонтического лечения
Спустя 2 недели после операции
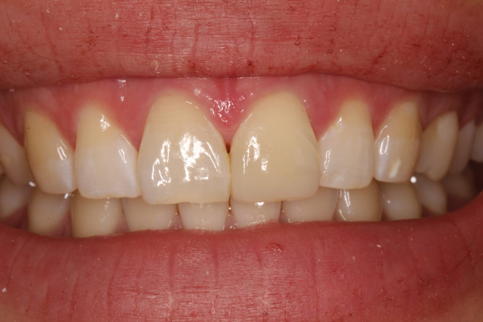
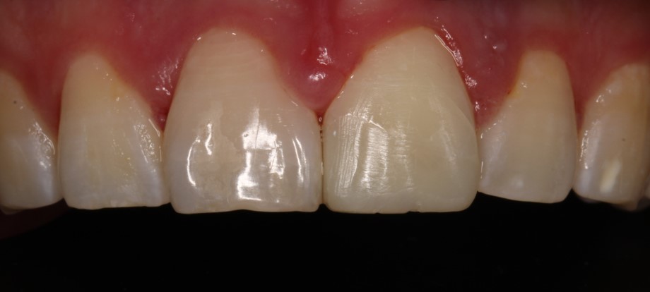
Спустя 6 месяцев после травмы окончательно отреставрировали 2.1 зуб. (фото после снятия коффердама, пациент больше не явился на осмотр)
Спустя 6 месяцев после травмы. (белая полоска около десны вследствие лечения в коффердаме)
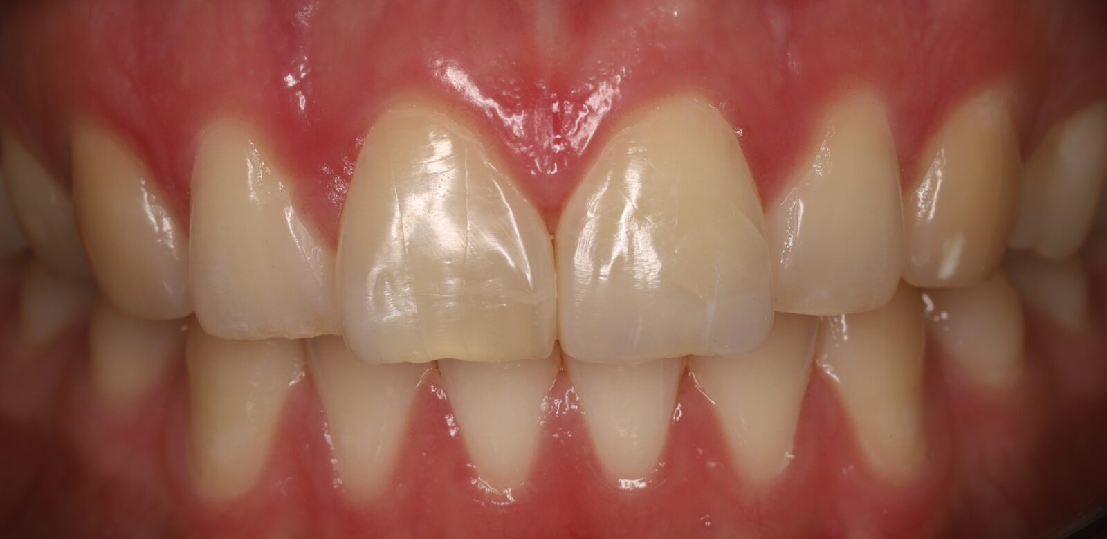
Наблюдение: Фотографии спустя 1 год и 8 месяцев. 22.06.2024г.
Была проведена незначительная корректировка и отполировали до блеска
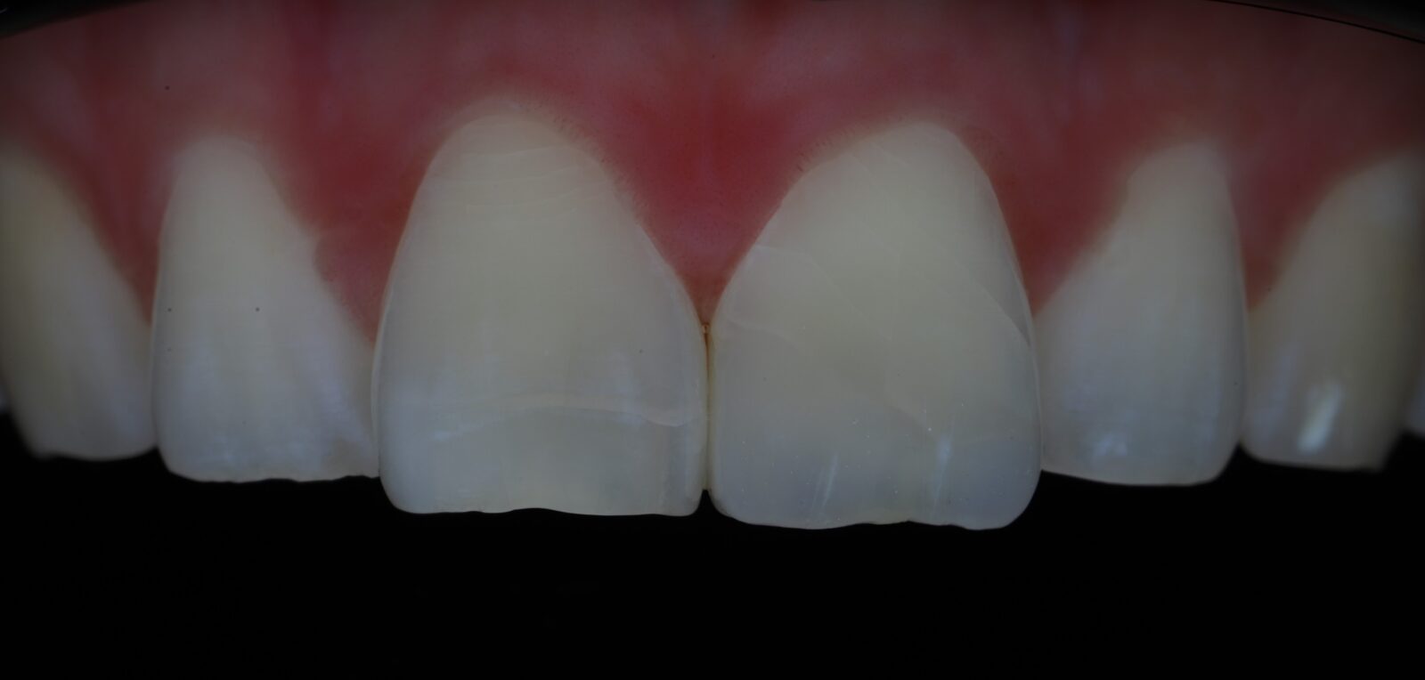
Фотография с поляризационным фильтром



Комментарии могут оставлять только зарегистрированные пользователи.
Регистрация