Интерес врачей к теме дентальной фото-съемки становится все более выраженным. Многие стоматологи перед тем, как приобрести собственный фото-комплект, хотят узнать о том, на что их камера будет способна: «смогу ли я получать фотографии, как в красивых журналах?», «Будут ли зубы на моих снимках смотреться правдоподобно и привлекательно?». Как правило, перед покупкой оценивается количество мегапикселей, размер матрицы, качество объектива. Все это достаточно важные аспекты, на которые, безусловно, нужно обращать внимание, однако есть один главный секрет для получения действительно качественных фотографий, который многие люди упускают из виду — свет.
Человек может обладать самой дорогой камерой в мире, но без понимания основных принципов правильной постановки света, он, скорее всего, будет разочарован несоответствием ожидаемого качества изображения и полученного результата.
Однако если знать о том, какие аксессуары и оборудование используются в фотографии для передачи освещения и владеть техникой их использования можно создавать потрясающие изображения с помощью камеры самых скромных возможностей.
Современная стоматология немыслима без фотографии. Ремесло фотосъемки столь тесно вплелось в практику врачей, занимающихся различными видами эстетической реабилитации, что теперь она сопровождает практически каждый клинический случай.
И это не удивительно. В наше время в связи со стремительным усложнением методов стоматологического лечения и все возрастающей потребностью в сложных эстетических преобразованиях улыбки, фотография приобретает все большее значение. Она используется для формирования профессионального портфолио, в качестве способа коммуникации между доктором и пациентом, а так же между членами врачебной команды; в качестве основного средства мотивации пациентов и т.д.
Фотосъемка в стоматологии стала настолько специфична, сложна и многозадачна, что ее можно смело выделить в отдельный жанр. Имя этому жанру – дентальная фотография. Она объединяет в себе принципы макро- и микро-съемки, предметной съемки, портретного фотографирования и к настоящему моменту обзавелась целым набором специального оборудования и аксессуаров, позволяющих наиболее эффективно осуществлять фото-регистрацию в сложных условиях полости рта.
Для того, чтобы успешно работать в жанре дентальной съемки необходимо иметь общие представления о принципах фотографирования и о технической изнанке происходящих процессов. Анализируя используемое в фотографии оборудование мы поймем, что процесс фотосъемки базируется на работе трех основных технических узлов: фотоаппарате, объективе и вспышке.
Фотоаппарат – это, по сути, устройство для запоминания света и основной орган управления процессом фотосъемки. Главным элементом фотоаппарата является светочувствительный сенсор (матрица), который фиксирует падающий на него свет.
Объектив представляет из себя определенную оптическую среду, которая позволяет фокусировать свет на матрице фотоаппарата. В дентальной фотографии используются специальные макро-объективы для того, чтобы получать изображение в необходимом масштабе.
Третьим, и самым важным техническим узлом фотографии является вспышка. Она позволяет заполнить объект съемки необходимым количеством света. На этом элементе мы остановимся более подробно.
Свет имеет первостепенное значение в фотографии, ибо именно свет, отраженный от различных объектов и попавший на матрицу камеры в итоге становится фотографией. Жанр дентальной съемки предполагает работу на больших степенях увеличения, расстояние от передней линзы объектива до зубов при этом очень небольшое – всего 15-30 см. В дентальной фотографии, как и во всякой макро-съемке, для увеличения глубины резкости приходится устанавливать высокие значения апертуры (f20-32), что приводит к максимальному закрытию диафрагмы объектива. В таких условиях свету очень сложно проникнут через объектив на матрицу. Используя постоянное (потоковое) освещение, которое дают лампы и светильники в нашем кабинете, мы неизбежно будем получать слишком темные кадры. Поэтому приходится использовать вспышки.
В отличии от источников постоянного света вспышки дают короткий, но очень мощный световой импульс. Вспышка позволяет получать направленный, контролируемый свет необходимой интенсивности для того, чтобы нужным образом освещать предмет съемки.
В дентальной фотографии существует 5 уровней сложности освещения с использованием различных типов вспышек и дополнительных аксессуаров по работе со светом.
Первый – кольцевая вспышка
Наиболее простой и незамысловатый вариант освещения в макро-съемке. За счет того, что импульсные лампы кольцевой вспышки располагаются вокруг передней линзы объектива в форме круга, это позволяет получать хорошее заполнение светом при любом, даже самым большом масштабе съемки. Кольцевая вспышка проста в управлении и позволяет легко получать достаточно хорошие результаты
Также она незаменима при регистрации окклюзионных фотографий, выполняемых через зеркало (протоколирование клинических случаев лечения жевательных зубов, фотографии всей зубной дуги и тд)
Основные недостатки кольцевой вспышки – резкое бестеневое освещение с формированием ярких бликов в форме кольца на поверхности зуба. Объекты под кольцевой вспышкой чаще всего получаются плоскими и невыразительными. Недостатки кольцевой вспышки особенно остро обнаруживают себя при съемке передних зубов.
Ко второму уровню освещения в дентальной фотографии относятся, так называемые, биполярные вспышки
Эти устройства оснащены парными излучателями, которые крепятся непосредственно к переднему краю макро объектива и управляются одним контрольным блоком. Головки вспышек, как правило, могут наклоняться под разными углами к объекту съемки. Такой тип освещения позволяет получать более привлекательную форму бликов, располагающихся на боковым гранях зубов, не закрывая собой важные детали
Недостатки биполярной вспышки – резкий свет, приводящий к формированию неестественно ярких бликов. Кроме того у двухламповых систем есть так же ограничение по максимальному масштабу съемки: при слишком близком расположении макро объектива к поверхности снимаемого объекта, света от вспышек может оказаться недостаточно. При протоколировании жевательных зубов в крупном масштабе одна из ламп биполярной вспышки может попасть в мертвую зону (за щеку, ретрактор или платок коффердама), что не позволит получить кадр достаточного уровня освещенности.
Освещение третьего уровня сложности представляет собой модифицированную версию биполярной вспышки, излучатели которой крепятся на специальном подвижном кронштейне
Это позволяет более свободно конфигурировать положение импульсных ламп относительно объекта съемки. Кроме того, на вспышки можно установить специальные модификаторы света, которые позволят смягчить его яркость, и соответствующим образом получить более привлекательную форму бликов на зубах. К таким аксессуарам относятся баунсеры и мини-диффузоры
Принцип работы баунсера заключается в том, что свет вспышки, падая на белую поверхность отражателя, частично рассеивается, ослабевает и становится более мягким. Мини-диффузоры пропускают прямой поток света через полотно матовой ткани, что тоже приводит к смягчению блика
Такой вариант освещения обладает потенциалом не только для стандартного фото-протоколирования, но и для получения художественных фотографийНедостатками биполярной вспышки на кронштейнеbr> является, прежде всего, то, что свобода пространственного позиционирования импульсных ламп ограничена мерой подвижности кронштейна. Такая система будет удобной для получения отличных снимков в традиционных ракурсах при относительно простых конфигурациях освещения. Однако для тех, кто захочет пойти дальше, ее возможностей будет уже недостаточно
Четвертый уровень сложности света в дентальной съемке, который открывает широкие возможности для художественного фотографирования и конфигурирования самых сложных схем освещения – дистанционная биполярная система с мини софт-боксами
В качестве источников света для этой системы предлагается использование накамерных вспышек с поворотной головкой. Обычная мощность таких вспышек для дентальной съемки избыточна, поэтому следует уменьшить параметр интенсивности светового импульса до 1/8-1/16 от максимального
Для соединения вспышек с фотоаппаратом можно использовать дистанционные радио-синхронизаторы, которые обеспечивают точную высокоскоростную синхронизацию (около 1/300 с) на расстоянии до 100 метров, либо воспользоваться встроенным механизмом дистанционного управления имеющимся в некоторых современных камерах. В некоторых случаях дистанционный тип соединения скорее не позволяет использовать режим автоматического замера экспозиции TTL, поэтому настройки мощности вспышек необходимо ставить вручную.
Отсутствие кронштейна у такой системы позволяет достигнуть максимальной степени свободы, однако при этом возникает необходимость в обязательной помощи ассистента для позиционирования вспышек в нужном положении.
Важным элементом системы являются софт-боксы. Именно эти аксессуары позволяют получать наиболее привлекательную, художественную картинку с красивой формой бликов на зубах
Несколько слов о софт-боксах.
Одна из главных задач фотографа и художника заключается в том, чтобы изучить природу света. Иногда свет бывает жестким, и дает при этом сильный контраст (прямой солнечный свет / вспышка), а в некоторых случаях свет мягкий и рассеянный (освещение в пасмурный день, дневной свет, падающий из окна).
Софт-боксы были разработаны для того, чтобы смягчить жесткое освещение от небольших источников света (лампы, вспышки), и снизить контраст отображения теней и «световых пятен». Как результат, эти модификаторы света помогают создать мягкое, естественное освещение для съемки как людей, так и объектов, например зубов
Принцип работы софтбокса таков: вспышка излучателя отражается от серебристых внутренних стен, проходит через внутреннюю перегородку, а затем через передний экран для рассеивания света. Именно в результате того, что диффузия импульса проходит через два рассеивающих полотна получается мягкий, ровный свет. Соответствующим образом меняется и форма блика. Для этой версии освещения лучше всего подходят небольшие софтбоксы размером примерно 25 на 25 см.
Среди недостатков системы 4-го уровня: отсутствие автоматического TTL-контроля, необходимость ручной настройки мощности вспышек, обязательное участие ассистента, а также невозможность съемки окклюзионных фотографий через зеркало – специфика данной системы делает ее для этого слишком неудобной
Последним, и наиболее творчески-перспективным, является пятый уровень освещения – биполярные вспышки на стойках с большими софт-боксами
В качестве излучателей могут быть использованы студийные импульсные лампы, питающиеся от сети, либо те же накамерные вспышки, что и на 4-ом уровне. Главным отличием такой системы является то, что для съемки используются более крупные софт-боксы (50на50 см и больше). Учитывая немалые габариты таких модификаторов света ассистенту будет неудобно держать их в руках, поэтому лучше всего закрепить их на специальных стойках
Большие софт-боксы позволяют получить еще более мягкий и рассеянный свет, оставляя на зубах приятные, живые блики. За счет бОльшего расстояния между внутренним и внешним рассеивающим экраном такие модификаторы дают более чистый световой поток и равномерно-яркие световые пятна на поверхности объектов. Отражение крупного софт-бокса на эмали, реставрационном материале или десне дают возможность передать не только оптическую структуру и цвет изображения, но и его объем, текстуру, рельеф
Хотя вкусы у разных фотографов различаются, большинство согласится с тем, что когда речь идет об осветительных приборах, тут действует правило, чем больше, тем лучше
Недостатком системы пятого уровня является, прежде всего, громоздкость, которая не позволяет достаточно свободно манипулировать положением вспышек. Если для съемки используются студийные импульсные лампы, то это добавит дополнительных проводов для подключения их к сети. В системе 5-го уровня точно так же как и у 4-ой нет возможности делать съемку в режиме автоматического контроля экспозиции TTL
Однако несмотря на все недостатки, только система 4-го и 5-го уровня обладает потенциалом для получения по-настоящему высокохудожественных фотографий. То качество снимков, которое обеспечивает применение модификаторов света стоит любых неудобств
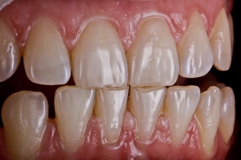
На следующих двух фотографиях показаны схемы освещения с использованием софт-боксов разных размеров. Рядом приведены примеры того, как меняется изображение
Для того, чтобы успешно использовать системы освещения 4-го и 5-го уровня, необходимо знать общие принципы работы с софт-боксами.
Чем больше размер источника света, тем больше след-отражение и мягче свет.
Чем ближе источник света, тем больше его отражение
Многие полагают, что, если отодвинуть софтбокс дальше от объекта, свет получится мягче и более рассеянный. На самом деле, источник света становится меньше и, следовательно, выше контраст, тем самым нарушается основное правило использования софтбокса
Применяя софтбокс для съемки, важно помнить: чем на более близкое расстояние от объекта Вы его поместите, тем мягче будет освещение
Применяя софтбокс для съемки, важно помнить: чем на более близкое расстояние от объекта Вы его поместите, тем мягче будет освещение
Применяя софтбокс для съемки, важно помнить: чем на более близкое расстояние от объекта Вы его поместите, тем мягче будет освещение
Применяя софтбокс для съемки, важно помнить: чем на более близкое расстояние от объекта Вы его поместите, тем мягче будет освещение
Чем больше угол падения света на зубы, тем больше контрастных теней
Если софт-боксы расположены фронтально к лицу пациента, свет от них будет заполнять всю полость рта практически не оставляя теней. Изображение в таком случае получится слишком мягких и светлым
Если вспышку расположить сагитально под бОльшим углом к поверхности световые пятна сместятся на боковые грани зубов и наиболее выступающие детали рельефа. Тени при этом станут более контрастными.
При такой конфигурации расположения вспышек лучше просматривается текстура поверхности
Изменяя схему расположения источников освещения мы можем получать картинку того качества, которое нам нужно, подчеркивать именно те детали снимаемого объекта, которые мы хотим показать в наиболее выгодном свете
Художественная фотография
Несмотря на существующие мнения о том, что главной и единственной целью стоматологической фотографии должна являться передача достоверной информации о внешнем виде и состоянии органов полости рта; несмотря на то, что некоторые специалисты склонны сводить суть дентальной съемки до сухого фото-протоколирования, интерес все большего количества врачей обращается в сторону художественной дентальной фотографии
Художественная фотография переступает через ограничения, превращаясь из способа отражения клинической действительности в настоящее искусство. Главное отличие художественной съемки – это ее место в нашей стоматологической жизни. Такие фотоснимки делаются для того, чтобы выложить их на специализированных интернет-площадках для демонстрации своего профессионального уровня; для публикаций в печатных изданиях; на обложки журналов; в качестве материала для учебных программ и т.д.
Тем, кто увлечен фотографией и стремится улучшить качество своих снимков, следует знать, что для создания подобных работ не требуется какой-то сверхдорогой профессиональной техники. Все, что необходимо – это понимание особенностей поведения света. Нужно знать, каким именно способом можно добиться требуемого освещения, как следует расположить источник света относительно объекта съемки, и какой при этом выбрать ракурс
В художественной фотографии допустимы приемы, находящиеся за пределами классической дентальной съемки. Основным инструментом все так же остается софт бокс
Контровое освещение
Ко́нтровый свет - освещение в фотографии, при котором источник света располагается позади объекта съёмки на близком расстоянии от него. Такое освещение даёт линию светового контура, которая может расширяться при увеличении интенсивности или удалении источника света от объекта. Источник не обязательно должен находиться ровно позади объекта, он может быть чуть сверху или сбоку, но он всегда сзади. С помощью контрового освещения можно наиболее детально передавать фактуру поверхности зуба и его микро-рельеф







Главное правило успешного освоения фото-искусства – как можно больше практиковаться и экспериментировать. Не следует придаваться косности, нужно всегда быть открытым для свободного творчества. Процесс фотографирования невероятно интересен, ведь при малейших изменениях положения вспышек или головы пациента кадры выглядят уже по-иному. Иногда случайное стечение обстоятельств приводит к получению самых незабываемых кадров.
Чтобы находить интересные объекты для дентальной съемки не нужно дожидаться появления какого-то уникального клинического случая. Эстетику часто можно увидеть в самых обыденных вещах: интересный микрорельеф на зубе, трещины на стершимся режущем крае, нестандартные эмалевые формации жевательных бугров и тд. Если каждый стоматолог научится видеть прекрасное сквозь пелену рутины, тогда все мы начнем относиться к своей работе по-особенному. И главным инструментом на пути познания эстетики является фотография!

Комментарии могут оставлять только зарегистрированные пользователи.
Регистрация