Перейти к содержимому
Мероприятия
Мои вебинары
Ассоциация MadHealer
Публикации
Дентал Маркет
Menu
Мероприятия
Мои вебинары
Ассоциация MadHealer
Публикации
Дентал Маркет
0
USD
RUB
KZT
RU
EN
PT
Контакты
Войти
Мероприятия
Мои вебинары
Ассоциация MadHealer
Публикации
Дентал Маркет
Menu
Мероприятия
Мои вебинары
Ассоциация MadHealer
Публикации
Дентал Маркет
USD
RUB
KZT
0
RU
EN
PT
Контакты
Войти
RU
EN
PT
Контакты
Войти
USD
RUB
KZT
0
Мероприятия
Мои вебинары
Ассоциация MadHealer
Публикации
Дентал Маркет
Menu
Мероприятия
Мои вебинары
Ассоциация MadHealer
Публикации
Дентал Маркет
USD
RUB
KZT
RU
EN
PT
0
Мероприятия
Мои вебинары
Ассоциация MadHealer
Публикации
Дентал Маркет
Войти
Мой аккаунт
Menu
Мероприятия
Мои вебинары
Ассоциация MadHealer
Публикации
Дентал Маркет
Войти
Мой аккаунт
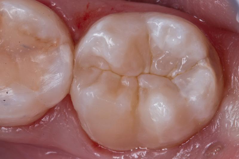
Реставрация моляров
клинические случаи
Автор:
Виктор Щербаков
78
Статьи на похожие темы
Непрямые композитные вкладки
Художественная реставрация зуба 3.6 (пошаговый протокол)
Реставрации фронтальных зубов
Комментарии могут оставлять только зарегистрированные пользователи.
Регистрация
Фамилия
Имя
Телефон
E-mail
Страна
Отправить
Вопрос
E-Mail
Имя
Фамилия
Отправить
Комментарии могут оставлять только зарегистрированные пользователи.
Регистрация