96
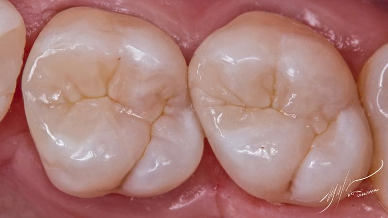
В данном клиническом случае проводилась реставрация зубов 1.6 и 1.7. Часть полостей была заполнена материалом SDR для смягчения воздействия полимеризационного стресса на композит, а также для более быстрого заполнения части внутреннего объема.
Основной оттенок для восстановления морфологических элементов – Ceram-x SphereTec A3. В качестве материала для финального моделировния был использован Filtek Ultimate White.
Его плотная консистенция дала ощутимые преимущества, потому что особенность данного этапа – работа чрезвычайно маленькими порциями для заполнения пространства между гребнями с формированием тонкой фиссуры.








Комментарии могут оставлять только зарегистрированные пользователи.
Регистрация