Пациент 65 лет обратился за комплексной стоматологической реабилитацией с жалобами на отсутствие зубов и эстетическую неудовлетворенность.
Пациент долгое время не обращался за стоматологической помощью, вследствие чего были утеряны зубы на верхней и нижней челюсти.
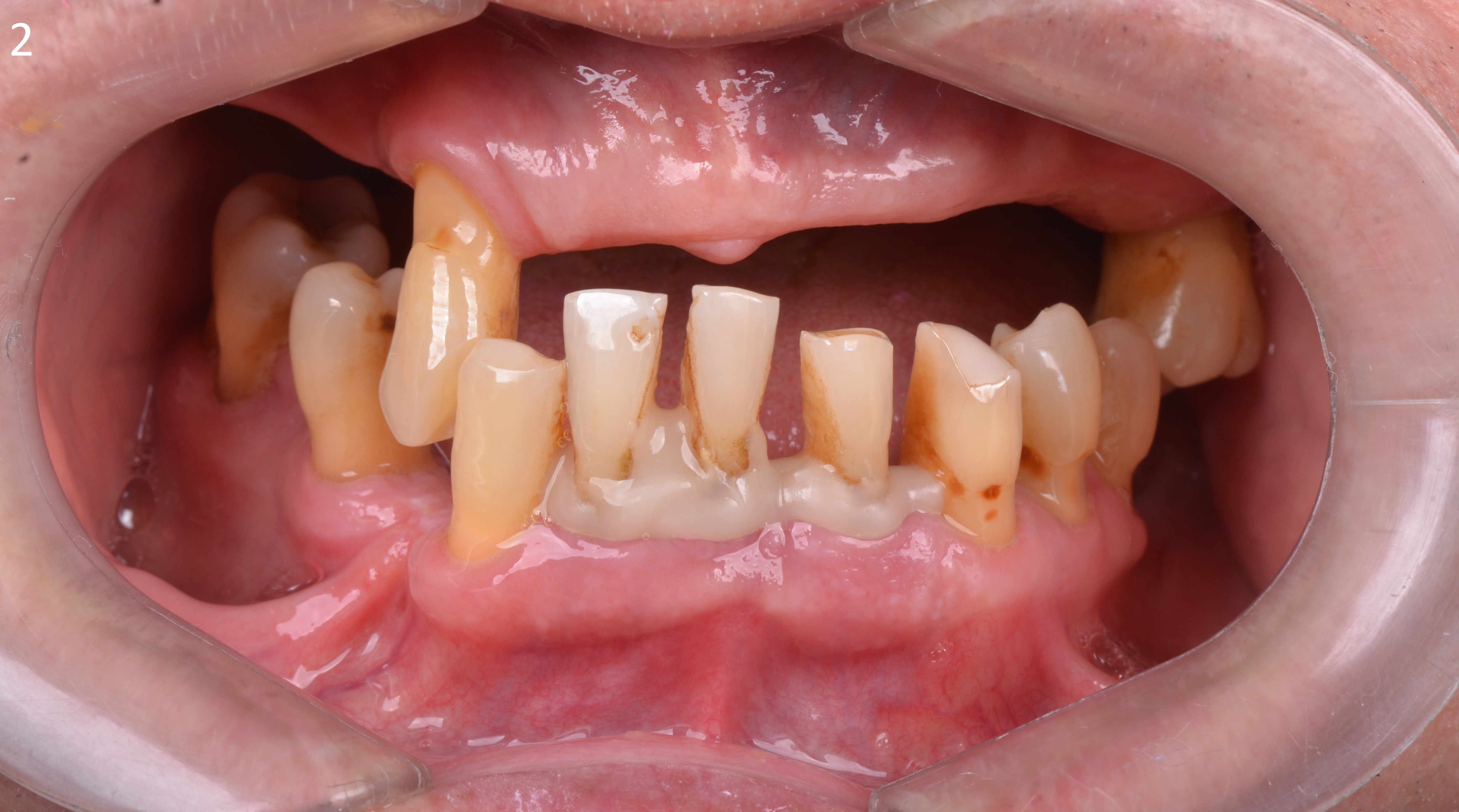
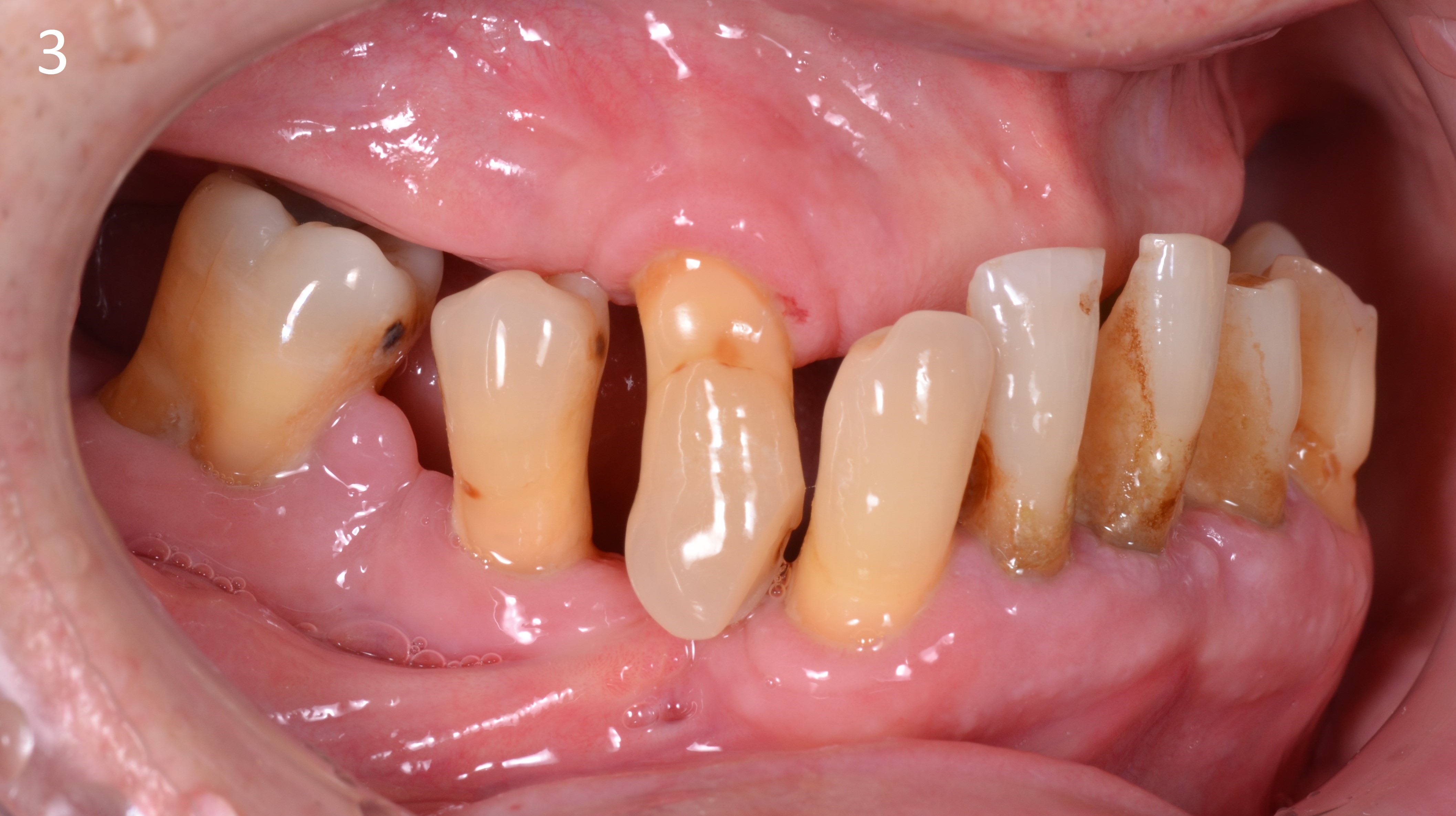
В полости рта наблюдаются пародонтальных патологии имеющихся зубов, зубоальвеолярное изменение в виде феномена Попова – Годона (рис 1,2,3.)
На панорамной рентгенограмме отмечаются: пневматизация верхнечелюстных синусов, значительная утрата пародонтальной поддержки зубов 2.7, 3.1, 4.1, 4.2, 4.5, 4.7, выраженная атрофия беззубых участков челюсти (рис 4).
Перед проведением хирургического вмешательства были выполнены все этапы цифровой диагностики и планирования будущей работы. Изготовлены хирургический шаблон и акриловый базис будущего протеза, с ложем для последующего армирования (упрочнения) и индивидуализации временного протеза в день установки имплантатов на верхней челюсти. (рис. 5,6,7,8)
Хирургическое вмешательство проводилось в состояние медикаментозной седации в комбинации с местной анестезией. С использованием хирургического навигационного шаблона, пилотной фрезой была проведена разметка положения имплантатов на верхней челюсти. На начальном этапе без откидывания лоскутов. В боковых участках разрез десны проводился по вершине альвеолярного гребня, во фронтальном отделе выбран вестибулярный разрез с отступом около 2-3 мм от границы соединения прикреплённой десны к слизистой оболочки переходной складки для дальнейшего управляемого формирования зоны кератинизированной десны в области имплантатов. (рис 8,9,10)
После скелетирование слизисто-надкостничного лоскута удален зуб 1.3 . Во фронтальном отделе дисковой пилой проведена редукция альвеолярного гребня верхней челюсти сохранением костного фрагмента. (рис 11,12,13)
По протоколу неполного препарирования было выполнено формирование ложа для дентальных имплантатов «Nobel Parallel Conical Connection» с последующей их установкой по методике «All –on – 4». Дистальные имплантанты установлены под углом 30°, имплантаты во фронтальной зоне – вертикально(рис. 14-19). Торк (крутящий момент) всех установленных имплантатов составил более 35 N/см2 что, позволило нам одномоментно нагрузить все установленные имплантаты с установкой временного условно-съёмного протеза из акриловой пластмассы с титановым каркасом.
На имплантаты были установлены абатменты для винтовой фиксации «Multi – unit»: в боковых участках угловые 30О абатменты , во фронтальных участках – прямые абатменты (рис. 20,21)
Лунка удаленного 1.3 зуба аугментирована костным фрагментом полученном при редукции альвеолярного гребня. Его клиновидная форма позволила провести фиксацию в лунке без использования дополнительных материалов: титановых винтов или пластин. Поднутрения в окружности костного фрагмента были заполнены костно-пластическим материалом «OsteoBiol ® mp3». Области «Multi – unit» абатментов и зоны костной аугментации дополнительно изолированы коллагеновыми мембранами Creos Xenoprotect. (рис. 22-25).
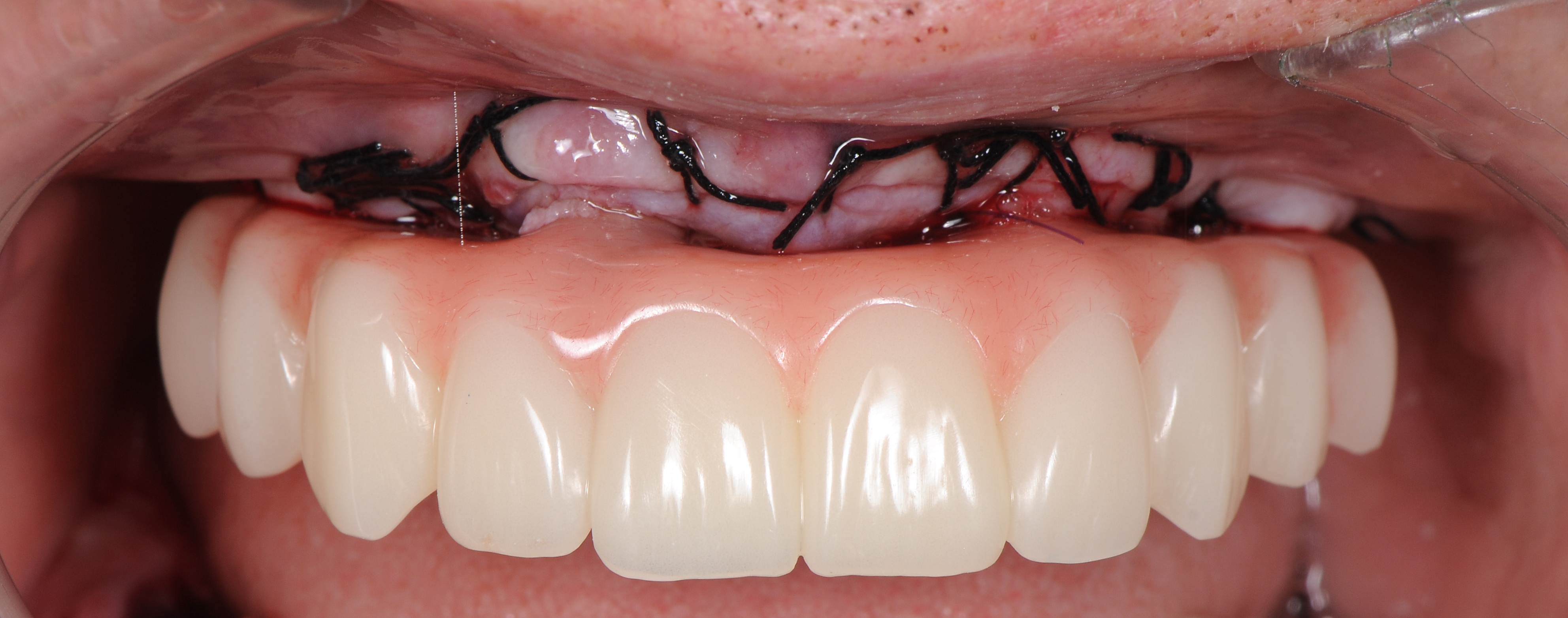
На «Multi – unit» абатменты зафиксированы пластиковые заживляющие колпачки. В небной части слизисто-надкостничного лоскута было сделано 2 перфорационных разреза в проекции фронтальных имплантатов, лоскут ротирован в вестибулярном направлении с расположением колпачков в зонах перфорации. Рана ушита шелковыми нитями без натяжения (рис 26,27,28).
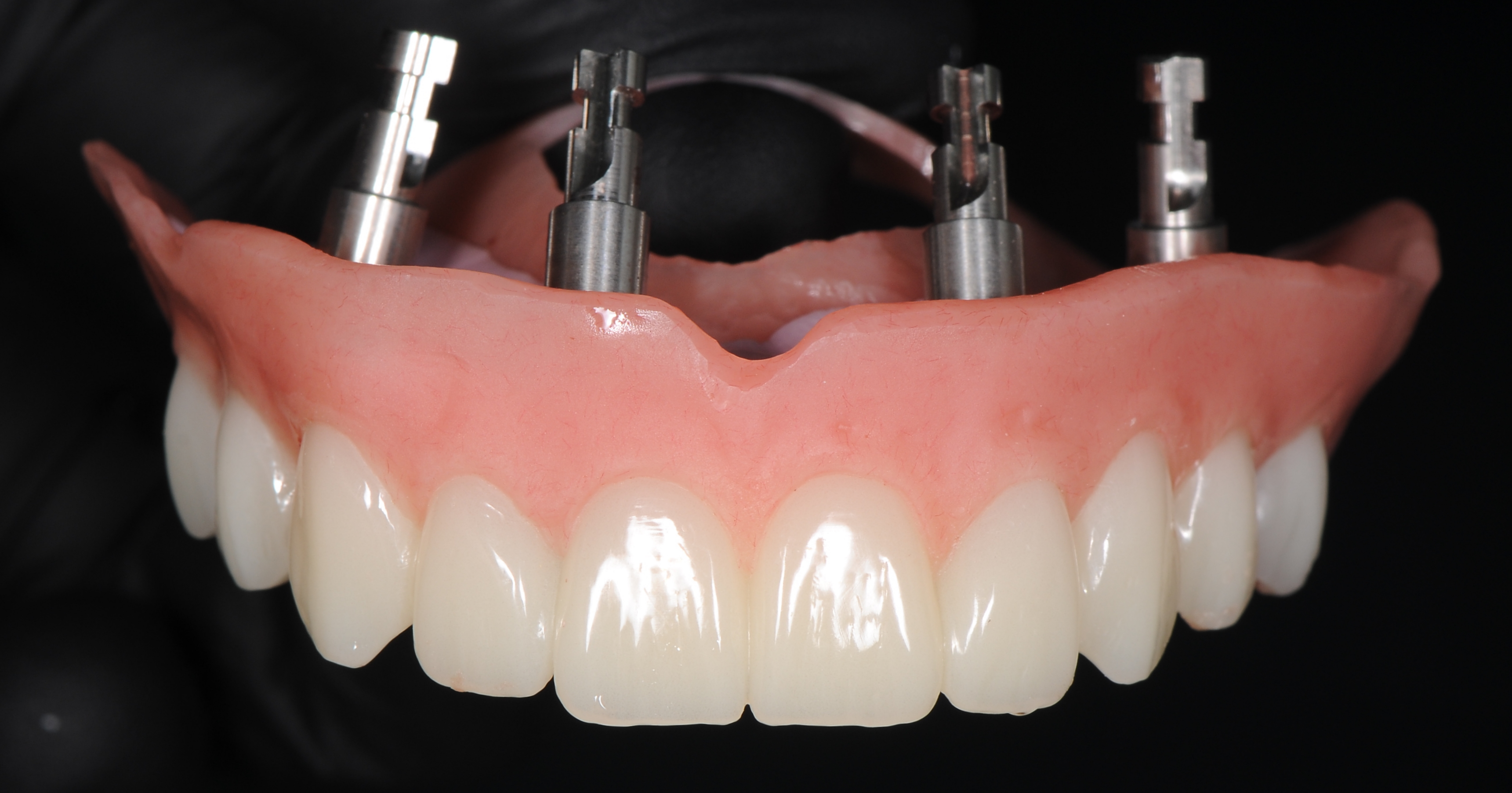
После окончание хирургического этапа в день операции был подготовлен временный условно-съёмный протез на имплантатах верхней челюсти для проведения точной перебазировки (рис 29,30).
Временные титановые цилиндры были зафиксированы к абатментам «Multi – unit» (рис. 31).
Фиксация титановых цилиндров к протезу проводилась прямым методом в полости рта пациента с помощью пластмассы холодного отверждения на основе полиметилметакрилатов (Tokuyama Rebase II), после припасовки протеза в полости рта, жидкую массу материала нанесли в шприце через тонкую канюлю в пространства между титановыми цилиндрами и ранее подготовленными отверстиями протеза. Первые минуты после нанесения пластмассы, проверяли правильного положения протеза в прикусе и держали протез нужном положении до полной первичной полимеризации нанесённой пластмассы. Когда материал полимеризовался, развинчивали конструкцию из полости рта пациента и удостоверились надёжности фиксации титановых цилиндров к протезу, затем дезинфицировав конструкцию зафиксировали к протезу титановые аналоги имплантатов к «Multi – unit» абатментам и передали конструкцию зубному технику для перебазирования и армирования протеза непрямым методом в лаборатории (рис. 32,33).
Зубной техник с протеза отливал модель с новыми десневыми контурами и положениями установленных имплантатов. После этого отделив титановые цилиндры от протеза зафиксировал их в модели к аналогам имплантатов.
Армирование протеза проводилось с помощью специальных титановых балок «TiRebar». Титановые балки с помощью композита фиксировались к титановым цилиндрам (рис. 33).
После полимеризации композита откручивались винты и проверялась пассивная посадка титановой балки к аналогам имплантата. Уже после этого зубной техник припасовывал акриловый протез к модели и перебазировал с пластмассой холодного отверждения на основе полиметилметакрилатов. После полимеризации протеза сошлифовали небную пластинку и излишки базиса с вестибулярной поверхности, при этом придесневая поверхность протеза оставалась относительно выпуклой или плоской , чтобы в дальнейшем не препятствовать осуществлению самостоятельной гигиене полости рта пациента (рис.34,35).
Фиксация временного протеза к абатментам в полости рта пациента с усилием 15 N/см2 окклюзионные контакты только в переднем участке (от клыка до клыка) (рис. 36,37).
Контрольная панорамная рентгенограмма после имплантации и установки временного протеза на верхней челюсти (рис. 38) По плану лечения также на нижней челюсти установили имплантаты в области 3.6, 4.4 и 4.6 зубов. Зубы 3.5, 3.4,3.3 – 4.3 были предварительно восстановлены мостовидными несъемными временными коронками из полиметилметакрилатного материала.
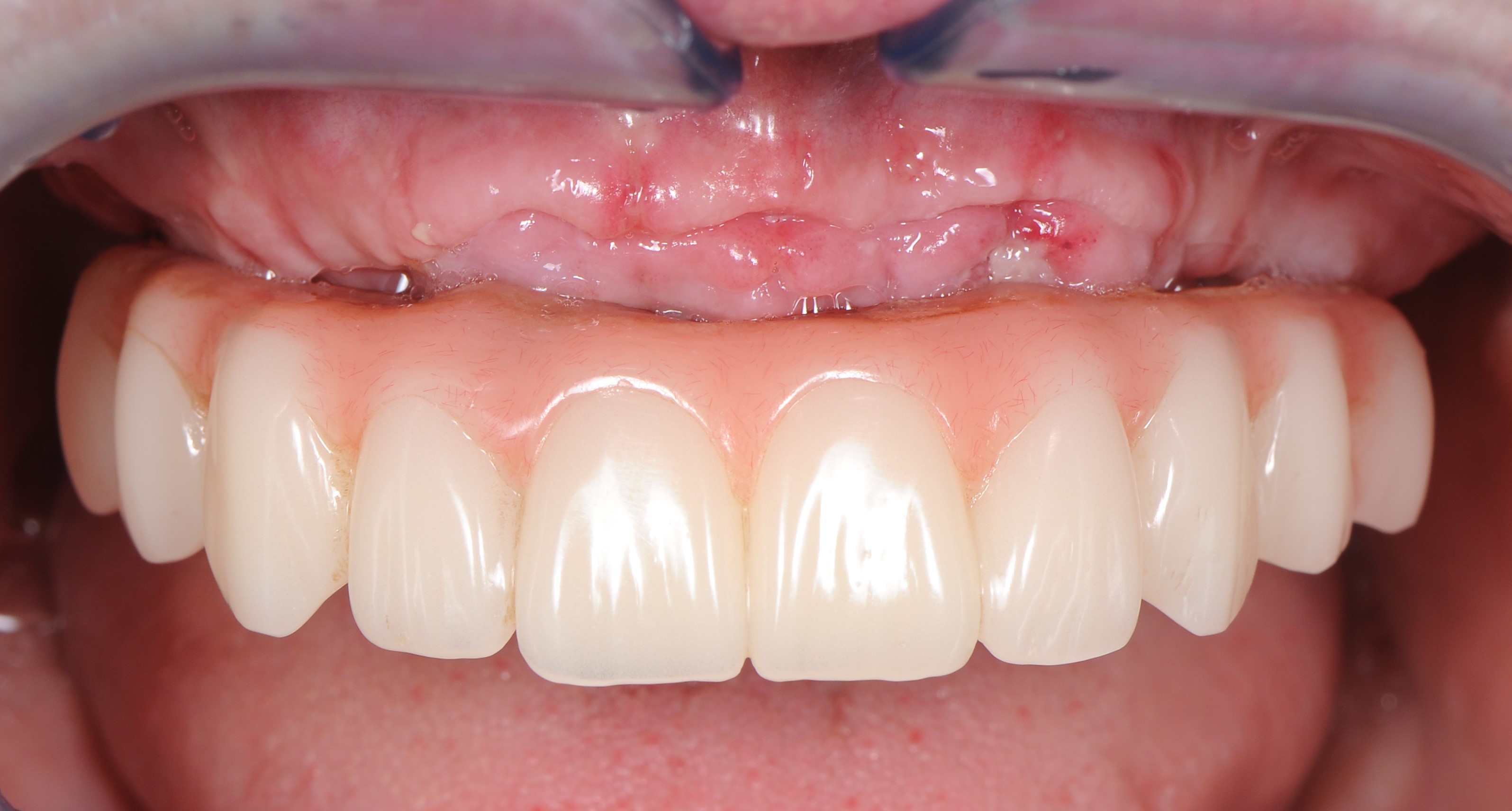
Через 10 дней после имплантации пациент приглашен для контрольного осмотра и снятие швов (рис. 39).
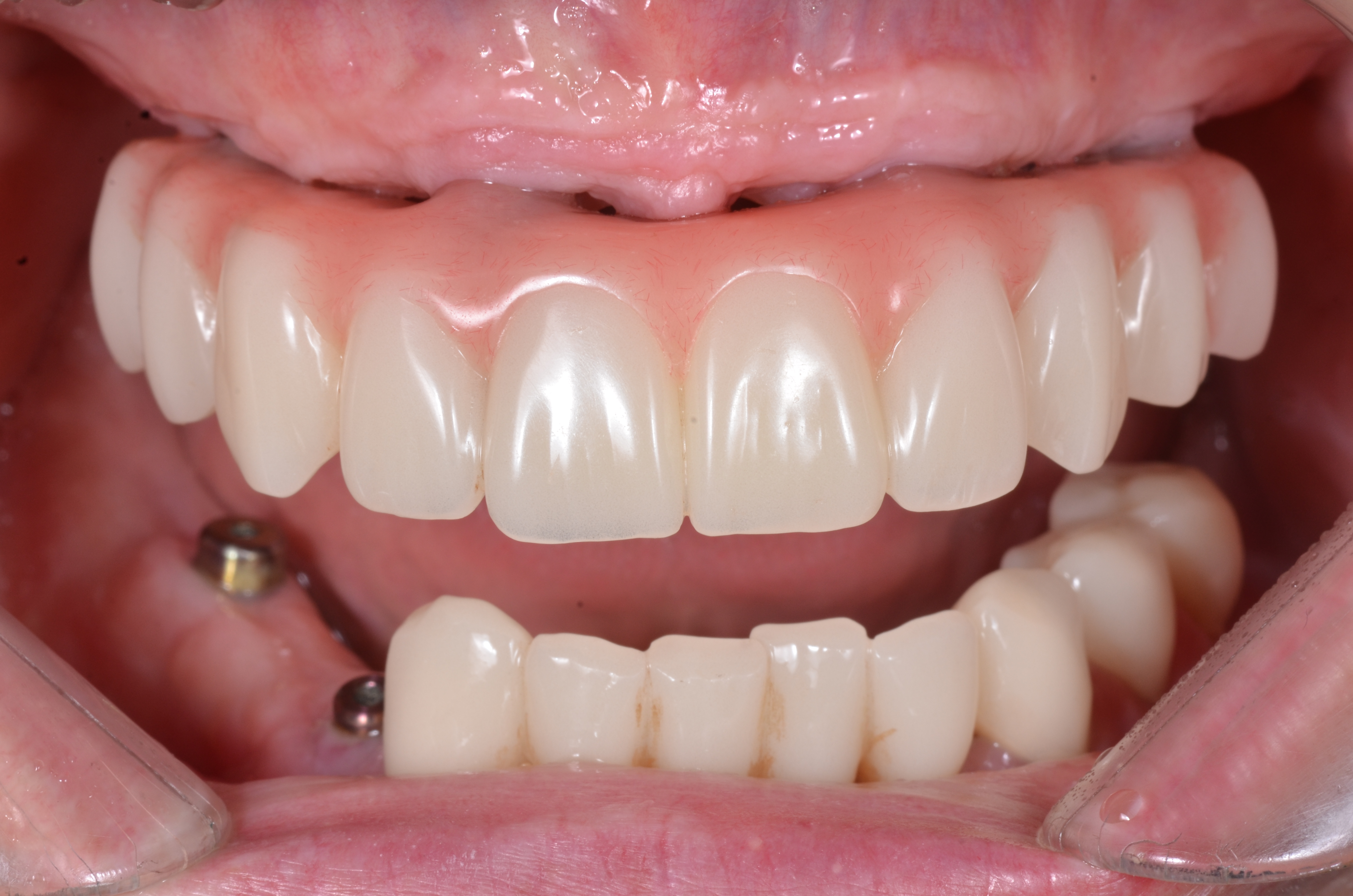
Через 6 месяцев на этапе постоянного протезирования сняли временный протез с имплантатов верхней челюсти и провели контрольную рентгенографию для контроля качества остеоинтеграции каждого из имплантатов. Также оценивали состояние мягких тканей окружающих «Multi – unit» абатментов (рис. 40,41)
На верхней челюсти сняли слепок с помощью артикуляционного гипса 2 класса (Snow White Plaster, Kerr), с установкой слепочных трансферов на «Multi – unit» абатменты, использованием открытой слепочной ложки (рис. 42,43). Для переноса положения верхней челюсти использовали лицевую дугу с временным протезом, с нижней челюсти снимали слепки поливинилсилоксаном а, также для определения межальвеолярного расстояния (МАР) на диагностических моделях в прикусе, сомкнутом положении зубов обоих челюстей.
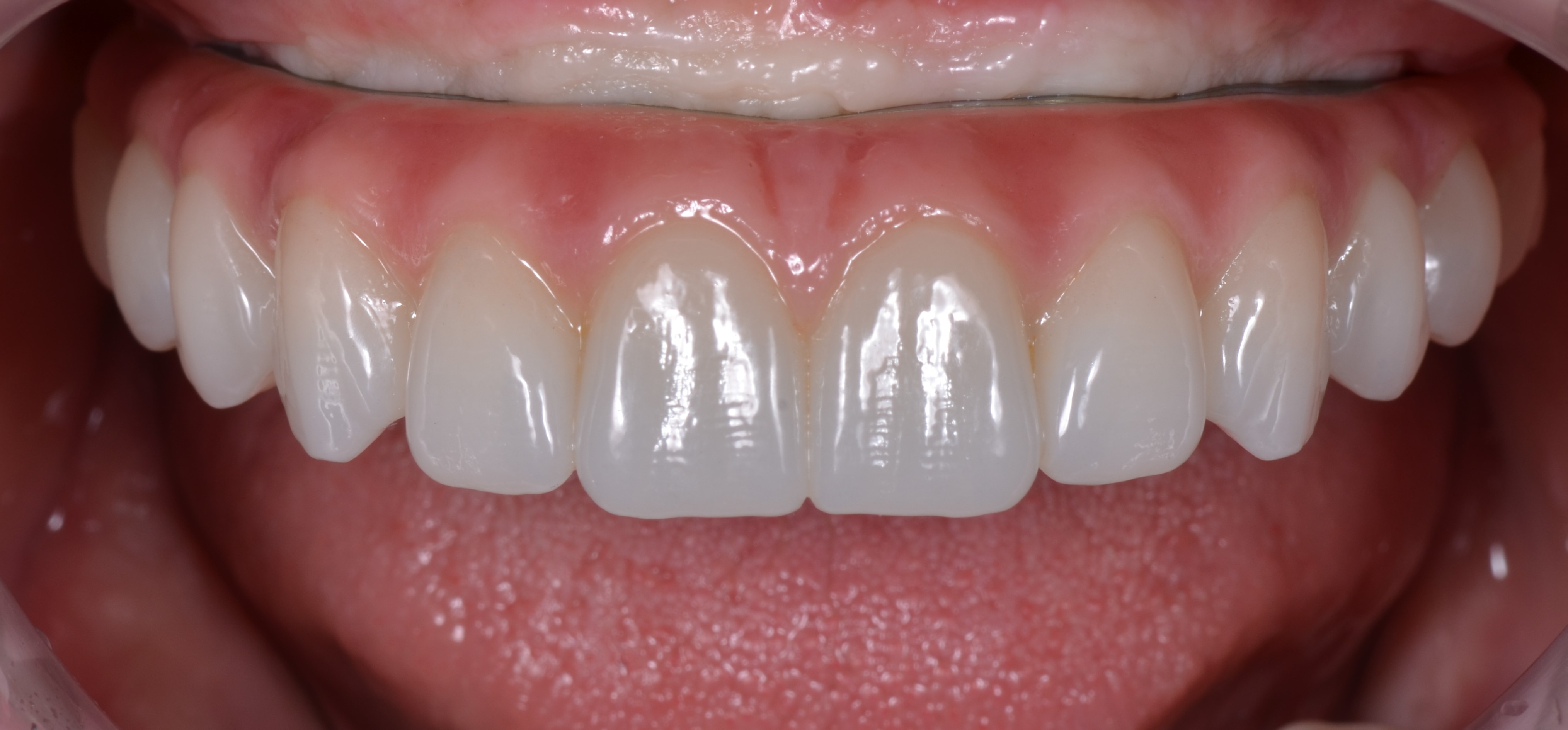
С эстетической и функциональной точки зрения провели диагностические оценочные манипуляции, согласовали с пациентом форму и цвет будущих зубов постоянной конструкции. Был изготовлен титановый фрезерованный каркас с индивидуальными абатментами NobelProcera® (рис. 44), с последующим изготовлением коронок из Диоксид циркония и имитацией розовой десны (рис. 45).
Через 8 месяцев после имплантации была зафиксирована несъёмная мостовидная керамическая конструкция с титановым каркасом по методике «All – on – 4» (рис. 46).
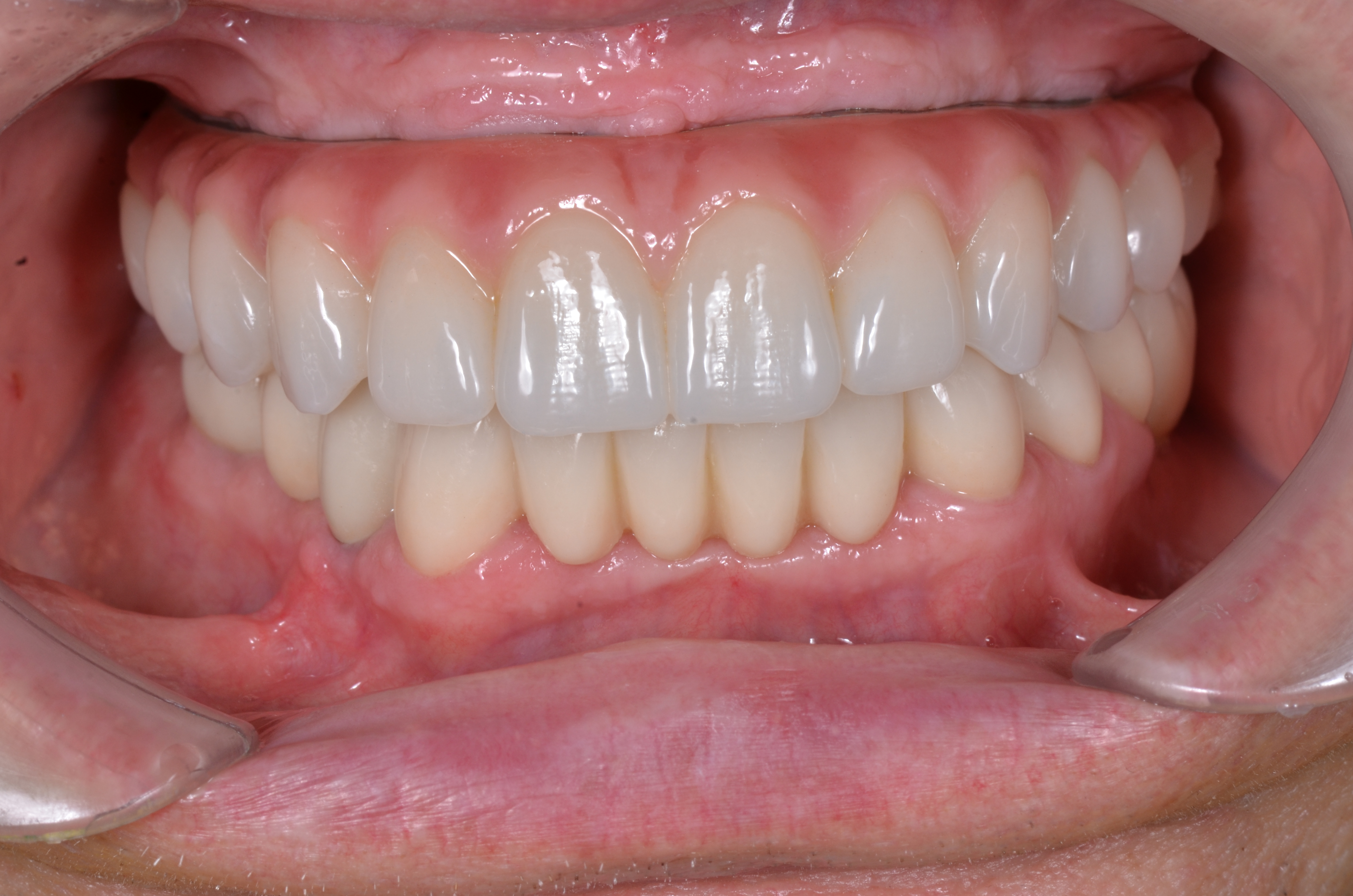
Благодаря междисциплинарному подходу при реабилитации стоматологических пациентов и богатому опыту нашей команды, нам удалось полноценно восстановить зубной ряд не только с эстетической точки зрения а, также восстановить его все функциональные параметры (рис. 47, 48,49).
На панорамной рентгенограмме после окончания протезирование с постоянными конструкциями обоих челюстей мы видим стабильный уровень костной ткани вокруг каждых имплантатов и зубов (рис. 50).
На нижней челюсти с целью сохранения имеющихся функционально-полноценных зубов на возможный длительный срок провели их подготовку к протезированию и на этапе временного протезирования создали новые уровни биологической ширины вокруг каждого зуба, для защиты и восстановление утраченных зубов покрыли их несъёмным мостовидным протезом.




















































Комментарии могут оставлять только зарегистрированные пользователи.
Регистрация