На приеме у любого врача-стоматолога встречаются пациенты с необходимостью проведения масштабных реконструкций фронтальных зубов и улыбки, однако реализация подобных клинических случаев является чрезвычайно трудной задачей. Это связано со многими факторами: грамотное планирование, сложная эстетическая разработка, многоэтапность, высокий уровень клинического исполнения и тд. Многие врачи на пути осуществления подобных работ сталкиваются с большим количеством ошибок и конечный результат часто оказывается далеким от совершенства. Именно поэтому задачей данной статьи является подробный разбор клинического случая сложной эстетической реконструкции улыбки с подробными комментариями и практическими советами, которые по мнению автора могли бы пригодиться в практике.
Исходная ситуация: наличие диастемы и большого количества трем в области фронтальных зубов верхней и нижней челюсти; неполное прорезывание зубов и как следствие десневой тип улыбки; шиповидная форма зуба 2.2.
Для того, чтобы уменьшить расстояние между зубами, поставить клыки в правильное положение и облегчить последующую реставрацию, было предпринято ортодонтическое лечение
Состояние зубов через 2 года после ортодонтического лечения. Тремы нижней челюсти удалось нивилировать полностью, смещение же верних зубов оказалось незначительным. Несмотря на то, что клыковое соотношение было выставлено в целом верно. у пациентки не происходило достаточного разобщения при латеротрузионном движении в левую сторону из-за наличия слева небольшой сагиттальной щели
Состояние зубов через 2 года после ортодонтического лечения. Тремы нижней челюсти удалось нивилировать полностью, смещение же верних зубов оказалось незначительным. Несмотря на то, что клыковое соотношение было выставлено в целом верно. у пациентки не происходило достаточного разобщения при латеротрузионном движении в левую сторону из-за наличия слева небольшой сагиттальной щели
Состояние зубов через 2 года после ортодонтического лечения. Тремы нижней челюсти удалось нивилировать полностью, смещение же верних зубов оказалось незначительным. Несмотря на то, что клыковое соотношение было выставлено в целом верно. у пациентки не происходило достаточного разобщения при латеротрузионном движении в левую сторону из-за наличия слева небольшой сагиттальной щели
Состояние зубов через 2 года после ортодонтического лечения. Тремы нижней челюсти удалось нивилировать полностью, смещение же верних зубов оказалось незначительным. Несмотря на то, что клыковое соотношение было выставлено в целом верно. у пациентки не происходило достаточного разобщения при латеротрузионном движении в левую сторону из-за наличия слева небольшой сагиттальной щели
Учитывая значительную визуализацию десны при улыбке было принято решение увеличить высоту клинической коронки фронтальных зубов за счет коррекции зенита десны
Учитывая значительную визуализацию десны при улыбке было принято решение увеличить высоту клинической коронки фронтальных зубов за счет коррекции зенита десны
В норме параметр биологической ширины равен 3 мм. Соответственно максимальная глубина погружения края реставрации не должна превышать 1-1,5 мм. При необходимости коррекции контура десны на бОльшую высоту, приходится проводить периопластическе вмешательство с редукцией костного края альвеолы
В норме параметр биологической ширины равен 3 мм. Соответственно максимальная глубина погружения края реставрации не должна превышать 1-1,5 мм. При необходимости коррекции контура десны на бОльшую высоту, приходится проводить периопластическе вмешательство с редукцией костного края альвеолы
По результатам пародонтологического обследования общая глубина зондирования составила 3 мм в области фронтальных зубов. Если к этому значению прибавить 1 мм соединительнотканного прикрепления, то мы обнаружим, что из-за неполного прорезывания значение биологической ширины в данном случае оказалось равным 4 мм (на 1 мм больше нормы). Соответственно работу по безопасной коррекции уровня десны возможно проводить в пределах 2 мм без периопластики и редукции костной ткани
На фотографиях в боковой проекции хорошо определяется толстый биотип альвеолярной слизистой, что является благоприятным фактором с точки зрения возможных осложнений после коррекции зенитов десны
Перед началом проведения лечебных процедур была выполнена эстетическая разработка с воспроизведением предполагаемой формы в цифровом варианте и на восковых моделях (фотографии которых, к сожалению, были утрачены)
В качестве эстетического ориентира и отправной точки для создания вестибулярной морфологии была выбрана керамическая работа мастера-техника Сергея Юдакова с зубами, форма которых оказалась наиболее близкой для пациента
Одним из важных условий успешного воспроизведения анатомических деталей в реставрации является предметное ориентирование на достоверный образец. Не следует создавать форму по памяти. Наши знания часто оказываются фрагментарными и несовершенными. Когда перед глазами есть натуральный зуб (или копия, близкая к оригиналу), мы можем гораздо точнее и более правдоподобно сымитировать природную морфологию
Примерка предварительной формы во рту с помощью мок-апа. Данный этап является обязательным в общем комплексе мероприятий эстетической разработки. С помощью мок-апа можно провести предварительные артикуляционные и фонетические пробы, определить, насколько корректно была выставлена позиция режущего края и общая высота зубов. В данном случае был выявлен избыток высоты и вестибулярного объема. Соответствующие поправки были внесены в восковые модели
Коррекция высоты десневого края была проведена с помощью диодного лазера. Сразу после работы с мягкими тканями были смоделированы пришеечные композитные валики (под одиночной изоляцией каждого зуба с помощью коффердама), для того чтобы не допустить обратного роста мягкий тканей в послеоперационный период и сформировать правильный десневой контур. Важно проводить тщательную отделку околодесневых участков композита, чтобы не допускать образования нависающих краев
Внешний вид зубов через 7 суток после лазерной коррекцции десны. Некоторые участки слизистой не успели восстановиться полностью
Этап подбора оттенка. В качестве ориентира были избраны нижние резцы, обладающие более равномерными оптическими характеристиками без интенсивных белых пятен. Наиболее близким оттенком по цветовой шкале ТруМатч оказался B1. Для того, чтобы анализ оптических и хроматических характеристик зуба был более объективным рекомендуется делать фотографии с использованием специальных поляризационных фильтров
Для того, чтобы убедиться в правильности выбранного оттенка рекомендуется взять небольшую порцию композита тех цветов, которые входят в состав «рецептуры» образца шкалы ТруМатч, порционно апплицировать на поверхность зуба и полимеризовать
На основании сделанных восковых моделей был получен небный силиконовый индекс для точного позиционирования композитной массы
Вид зубов после изоляции. Сделанные ранее композитные валики позволили надежно зафиксировать край латексного платка с помощью пришеечных лигатур гигиеническим флоссом. Препаровка с использованием вращающегося инструмента не проводилась
Весь объем механических воздействий на поверхность зубов ограничился проведением воздушно-абразивной обработки аппаратом RondoFlex с песком оксида алюминия с размером частик 27 мкм. Это позволяет редуцировать кислотоустойчивый поверхностный апризматический слой эмали, а также увеличивает общую удельную площадь поверхности, усиливая прочность адгезивного сцепления
Кислотное динамическое травление поверхности эмали. Рекомендуется взбалтывать гель ортофосфорной кислоты на протяжении всего времени использования, чтобы усилить протравливающий эффект и уменьшить содержание нерастворимых солей моногидрата кальция
Аппликация гидрофобной смолы адгезивной системы 4-го поколения OptiBond FL
Воспроизведение небной эмалевой стенки с использованием опалового оттенка композита Ceram-X DUO E2. Для того, чтобы улучшить пластические свойства и увеличить конверсию мономера композитный материал был нагрет до температуры 40 градусов
Формирование структуры мамелонов из дентинного оттенка Ceram-X DUO D2. Для моделирование внутренних дентинных структур удобно пользоваться мягкой силиконовой гладилкой в виде конуса
Алгоритм послойного нанесения слоев композитной массы различных оттенковАлгоритм послойного нанесения слоев композитной массы различных оттенков
Алгоритм послойного нанесения слоев композитной массы различных оттенков
Алгоритм послойного нанесения слоев композитной массы различных оттенков
Алгоритм послойного нанесения слоев композитной массы различных оттенков
Алгоритм послойного нанесения слоев композитной массы различных оттенков
Алгоритм послойного нанесения слоев композитной массы различных оттенков
Вид после нанесения и полимеризации всех слоев композитного материала. Боковые стенки и контактные пункты формировались отдельно с помощью индивидуально-контурированных лавсановых матриц по методу Радлинского
Карандашная разметка макро- и микро-анатомии. Использование карандашных пометок помогает эффективно работать над нюансами вестибулярной морфологии и рельефа, а также контролировать положение боковых граней
Карандашная разметка макро- и микро-анатомии. Использование карандашных пометок помогает эффективно работать над нюансами вестибулярной морфологии и рельефа, а также контролировать положение боковых граней
Этап анатомического контурирования. Проводится с использованием алмазных пиковидных боров с красной полоской на повышающем наконечнике. Использование наконечника с контролируемым торком помогает лучше чувствовать давление и регулировать режущую активность инструмента. Важно проводить работу на небольшой скорости вращения (до 10 000 об/мин)
Этап анатомического контурирования. Проводится с использованием алмазных пиковидных боров с красной полоской на повышающем наконечнике. Использование наконечника с контролируемым торком помогает лучше чувствовать давление и регулировать режущую активность инструмента. Важно проводить работу на небольшой скорости вращения (до 10 000 об/мин)
Этап шлифовки. Осуществляется с использованием силиконовых головок Enhance в форме чашки и конуса. Работу этими инструментами следует проводить без использования воды, для того, чтобы видеть как изменяется текстура поверхности композита и соответственно лучше контролировать качество отделки. Головки Enhance формируют натуральный рисунок поперечной исчерчености
Этап шлифовки. Осуществляется с использованием силиконовых головок Enhance в форме чашки и конуса. Работу этими инструментами следует проводить без использования воды, для того, чтобы видеть как изменяется текстура поверхности композита и соответственно лучше контролировать качество отделки. Головки Enhance формируют натуральный рисунок поперечной исчерчености
Шлифовка проксимальных переходных поверхностей и амбразур с помощью диска Sof-Lex низкой степени абразивности. Работать этим инструментом нужно очень аккуратно, без интенсивного давления, чтобы не ослабить плотность контакта. Скорость оборотов не должна превышать 4000 об/мин)
Этап предварительной полировки с использованием полиров PoGo. Этот инструмент придает поверхности предварительный блеск и удаляет микро-деформации с поверхности. При этом не нарушается структура миро-рельефа. Среди прочих форм по мнению автора лучшей эффективностью обладают диски PoGo. Работать ими нужно на низких оборотах (до 8000 об/мин) прерывистыми движениями
Предварительная полировка с использованем зуботехнических щеток из козьей щетины. Работать ими нужно строго без водного охлаждения (поверхность зубов перед применением должна быть тщательно высушена) на низких оборотах (до 8000 об/мин). Этот полировочный инструмент улучшает блеск композита, и, воздействуя на реставрацию объемно, полирует даже труднодоступные интерпроксимальные и пришеечные области
Предварительная полировка с использованем зуботехнических щеток из козьей щетины. Работать ими нужно строго без водного охлаждения (поверхность зубов перед применением должна быть тщательно высушена) на низких оборотах (до 8000 об/мин). Этот полировочный инструмент улучшает блеск композита, и, воздействуя на реставрацию объемно, полирует даже труднодоступные интерпроксимальные и пришеечные области
Окончательная полировка поверхности с использованием пасты Prisma Gloss Extra Fine на специальной губке. Сначала проводится обработка пастой без воды, затем с незначительным добавлением жидкости. После применение этой пасты поверхность принимает искрящийся блеск поверхности
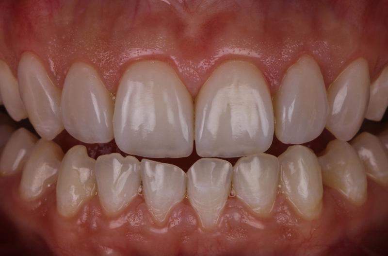
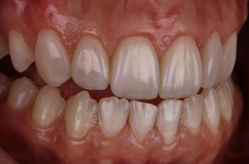
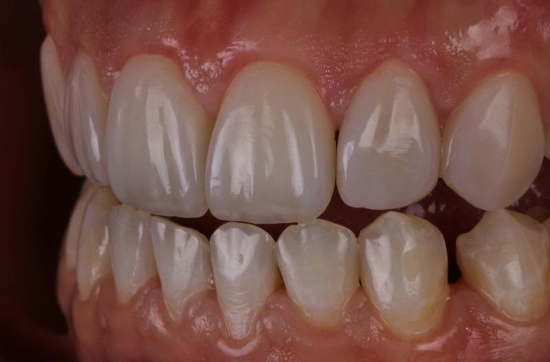
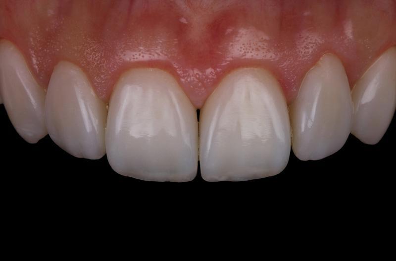
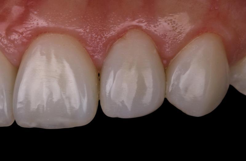
Фотографии через 8 суток после завершения реставрации. Мягкие ткани практически полностью восстановились, лишь в области десневых сосочков между зубами 2.1, 2.2 и 2.3 слизистая немного гиперемирована и слегка отечна, однако, учитывая масштаб вмешательств, для полного заживления требуется более значительный срок.После репозиции режущих краев функция клыкового ведения была восстановлена. Пациентка отмечает минимальный дискомфорт в плане дикции. Благодаря лазерной коррекции десны удалось уйти от десневого типа улыбки, что в значительной степени сказалось на внешнем виде












Комментарии могут оставлять только зарегистрированные пользователи.
Регистрация