93
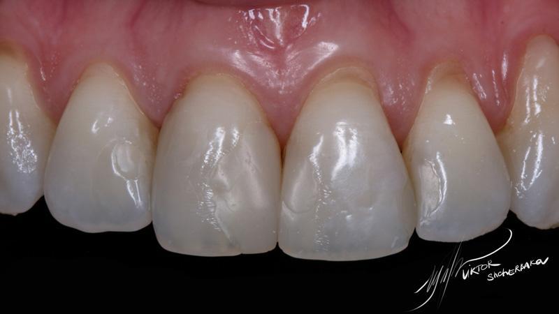
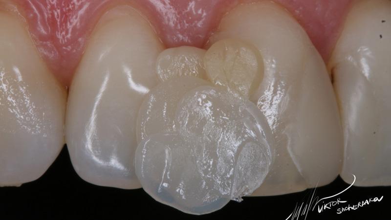
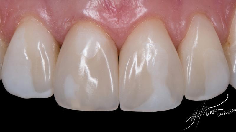
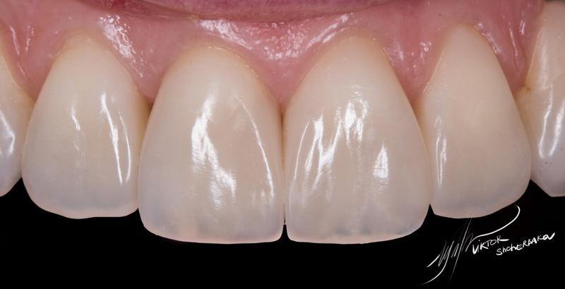
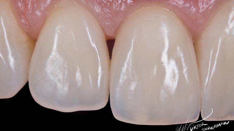
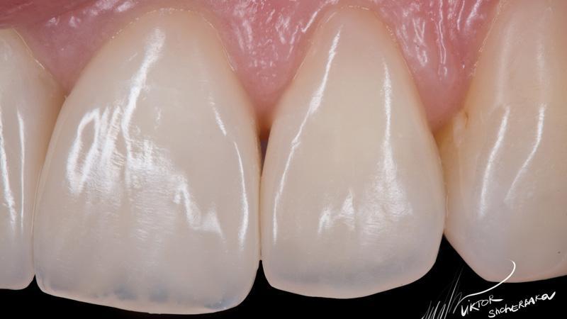
Fragmental restoration of class 3 and 4 defects without total vestibular overlapping with the composite.
Dentin: Ceram-Duo D3, D2
Body: Asteria A3B
Outer enamel: Esthet-x YE,CE + Estelite color Clear inside
Polishing: Enhance tips, Jota composite polishers (green), Pogo polisher, Jota (grey tip), Goat bristle disk, Prisma Gloss Extra Fine paste.
Photo: just ring flash YN-14EX

















Комментарии могут оставлять только зарегистрированные пользователи.
Регистрация