0
0
0
0
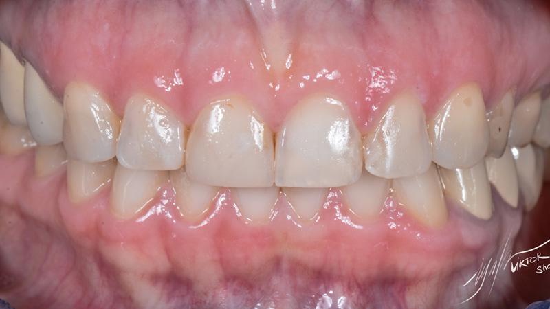
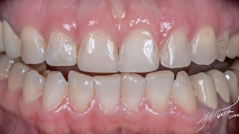
Bleach Restoration
108

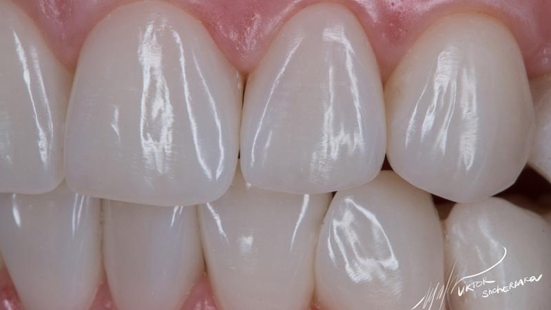
Interesting and quite unusual case ) Completely NON-prep. The patient had a bite-lifting beforehand, at the time of our work were fixed temporary posterior plastic structures in the new height. Preparation – just Al2O3 sand 27 mkm, dynamic etching with Ultraetch, Ethanol-wet bonding Protocol, Optibond FL + silane on composite (all existed filings at the moment of treatment beginning were made 3-4 months ago by another doctor from our clinic).

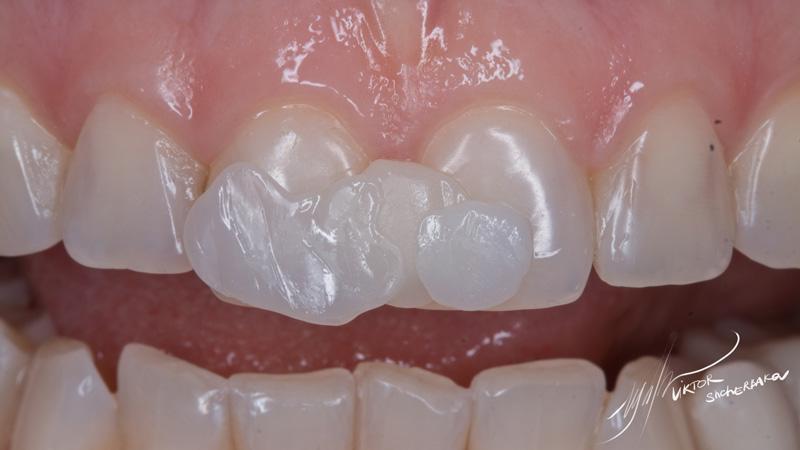
Asteria A1B – overlapping base for the shade itself, Esthet-x WE – outer opal enamel layer, on the cutting edge and between the mamelons – Estelite Color Clear + a bit OBN from Enamel Plus.

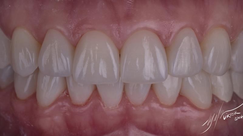
Grinding: Enhance, Jota polishers 2-step system, goat bristle brush + prismagloss ExtraFine paste. The case is unusual cos I have never (!) did not correct any restoration during the treatment, which never happened before)) the first visit 9 hours, the second visit – 5 hours, the third – 3 hours.

Articles on similar topics
Dental Anatomical Combinations: A Guide to Ultimate Dental Esthetics
Essential Lines
Surface texture: Using horizontal and vertical lines to simulate natural tooth appearance

Комментарии могут оставлять только зарегистрированные пользователи.

Регистрация